What is Zoom Whitening Ottawa
Zoom Whitening is a popular and effective teeth whitening procedure offered by dental professionals in Ottawa. It’s designed to brighten your smile significantly in a single office visit. The process involves applying a professional-strength whitening gel to your teeth and activating it with a special blue light. This light accelerates the whitening process, allowing for dramatic results in a relatively short amount of time. Zoom Whitening is ideal for people seeking a quick and noticeable improvement in the appearance of their teeth, and it’s a safe and efficient way to achieve a brighter, more confident smile. This guide will take you through everything you need to know about getting Zoom Whitening in Ottawa.
How Does Zoom Whitening Work
The Zoom Whitening system works by using a powerful whitening gel, typically containing a high concentration of hydrogen peroxide. This gel is applied to the surface of your teeth. The Zoom light, which is a special LED light, is then directed onto your teeth. This light activates the hydrogen peroxide, causing it to break down and release oxygen molecules. These oxygen molecules penetrate the enamel of your teeth and break up the stains and discoloration that have accumulated over time. The entire process is carefully monitored by a dental professional to ensure the best possible results and to protect your gums and soft tissues. This process usually takes about an hour, making it a convenient option for those with busy schedules. Remember that the effectiveness may vary depending on the type and severity of the stains.
The Zoom Whitening Procedure Ottawa

The Zoom Whitening procedure in Ottawa typically involves several steps. First, your dentist will conduct a thorough examination of your teeth and gums to ensure you are a suitable candidate for the treatment. This includes checking for cavities, gum disease, and other dental issues that might need to be addressed before whitening. Then, your dentist will clean your teeth to remove any plaque or debris that could interfere with the whitening process. A protective barrier is then applied to your gums and lips to shield them from the whitening gel. After this, the whitening gel is applied to your teeth, and the Zoom light is positioned to activate the gel. The process may be repeated in 15-minute intervals, for a total treatment time of approximately 45 minutes to an hour, depending on the degree of whitening desired and the dentist’s protocol.
Preparing for Your Zoom Whitening
Preparing for your Zoom Whitening in Ottawa involves a few key steps to ensure the best possible results. Before your appointment, your dentist will likely recommend a dental checkup and cleaning to ensure your teeth and gums are healthy. This is an important step as it helps remove surface stains and plaque, allowing the whitening gel to work more effectively. You should also discuss any concerns or questions you have with your dentist beforehand. If you have sensitive teeth, inform your dentist, as they may recommend a special toothpaste to use a few weeks before the procedure. Avoiding foods and drinks that stain teeth, like coffee, tea, and red wine, in the days leading up to your appointment can also help maximize the whitening effect. Furthermore, if you are prone to teeth sensitivity, consider using a desensitizing toothpaste.
The Zoom Whitening Process Step-by-Step
The Zoom Whitening process is straightforward. It starts with a consultation to determine if you are a good candidate. A dental professional will then prepare your mouth by retracting your lips and cheeks and protecting your gums with a special barrier. After this, the whitening gel is applied to the surface of your teeth. The Zoom light is then used to activate the gel, typically for three 15-minute intervals. During each interval, the dentist will monitor your teeth and gums. After the final application, the protective barrier is removed, and your teeth are rinsed. You will also receive aftercare instructions to help maintain your brighter smile. The entire procedure is designed to be as comfortable as possible, with the dental professional ensuring your comfort throughout the process. The effectiveness of the treatment will depend on your initial tooth shade and the level of staining.
Post-Treatment Care for Zoom Whitening

After your Zoom Whitening treatment in Ottawa, following the aftercare instructions provided by your dentist is crucial for maintaining your results and minimizing sensitivity. You’ll likely be advised to avoid foods and drinks that can stain your teeth for at least 48 hours after the procedure. This includes coffee, tea, red wine, and heavily pigmented foods. You might also be given a special toothpaste to use to help reduce any sensitivity. Regular brushing and flossing are essential to maintain good oral hygiene and prevent future staining. Consider using a straw when drinking dark-colored beverages to minimize contact with your teeth. Regular dental checkups and cleanings are also important for keeping your teeth healthy and bright. Following these guidelines will help you enjoy your brighter smile for longer.
Maintaining Your Bright Smile
Maintaining your bright, white smile after Zoom Whitening in Ottawa involves several strategies. First, practice good oral hygiene by brushing your teeth twice a day and flossing daily. This helps remove plaque and surface stains. Avoid or limit your consumption of staining foods and drinks such as coffee, tea, red wine, and berries. If you do consume these, rinse your mouth with water afterward or use a straw to minimize contact with your teeth. Regular dental checkups and professional cleanings are also essential. Your dentist can remove any surface stains and assess the health of your teeth and gums. Consider using a whitening toothpaste or mouthwash to help maintain your results. Another option is to get touch-up treatments as needed. With proper care, your Zoom Whitening results can last for a significant amount of time.
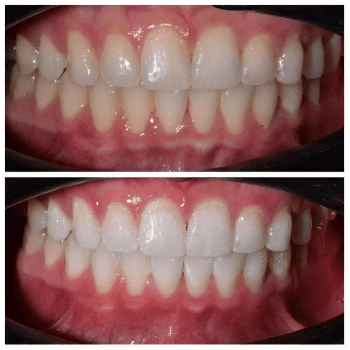
Benefits of Zoom Whitening in Ottawa
Zoom Whitening offers several key benefits for individuals in Ottawa seeking a brighter smile. The most significant advantage is the dramatic improvement in tooth color in a relatively short period. Unlike at-home whitening kits, Zoom Whitening provides faster and more noticeable results, often in just one office visit. This is particularly appealing for those who want an immediate boost in confidence for a special event or simply to improve their overall appearance. The procedure is performed by trained dental professionals, ensuring safety and efficacy. The treatment is customized to individual needs, and dentists can control the intensity of the whitening process. Moreover, the long-lasting results, when combined with proper aftercare, make Zoom Whitening a worthwhile investment. Finally, Zoom Whitening can significantly boost your self-esteem by giving you a more radiant smile.
Cost of Zoom Whitening in Ottawa

The cost of Zoom Whitening in Ottawa can vary depending on several factors, including the specific dental clinic, the experience of the dentist, and any additional services included in the treatment package. Generally, the price will reflect the quality of the materials used and the expertise of the dental team. It’s essential to get a consultation to understand the total cost, which typically covers the procedure itself, the initial examination, and any necessary preparations. Prices may differ between clinics. You should inquire about any potential additional costs, such as touch-up treatments or take-home whitening kits. Check with your dental insurance provider, as some plans may cover a portion of the cost of cosmetic procedures. Remember that while cost is a factor, it’s important to prioritize the quality of care and the reputation of the dental practice when choosing a provider for Zoom Whitening in Ottawa. Also, compare prices from multiple clinics before deciding.
Finding a Qualified Dentist in Ottawa for Zoom Whitening
Finding a qualified dentist in Ottawa for Zoom Whitening is essential for a safe and effective treatment. Begin by researching dentists in your area. Look for dentists with experience in cosmetic dentistry and specifically in Zoom Whitening. Check online reviews and testimonials to assess the dentist’s reputation and the experiences of other patients. Verify the dentist’s credentials and ensure they are licensed to practice in Ontario. Schedule a consultation to discuss your goals and ask questions about the procedure, the dentist’s experience, and the expected results. During the consultation, pay attention to the dentist’s communication style and their ability to address your concerns. Ensure that the dental practice follows all health and safety protocols. Selecting a skilled and trustworthy dentist is crucial for achieving a beautiful and healthy smile.
What to Expect During Your Zoom Whitening Appointment
During your Zoom Whitening appointment in Ottawa, you can anticipate a comfortable and professional experience. Upon arrival, you’ll be greeted by the dental staff, and your dentist will perform a brief examination of your teeth and gums to ensure the treatment is suitable for you. Your lips and gums will be protected using a special barrier. The whitening gel will be applied to your teeth, and the Zoom light will be positioned to activate the gel. The procedure typically involves several 15-minute cycles, during which the dentist will monitor your progress and adjust the treatment as needed. You’ll be given protective eyewear to shield your eyes from the bright light. Throughout the process, you’ll be able to relax in a comfortable dental chair, and the dental team will ensure you are comfortable and informed. After the final cycle, the protective barriers are removed, and your teeth are rinsed, and you’ll receive aftercare instructions. The entire appointment usually takes about an hour, depending on your individual needs.
Potential Side Effects of Zoom Whitening

While Zoom Whitening is generally a safe procedure, some potential side effects can occur. The most common side effect is tooth sensitivity, which can range from mild to moderate. This sensitivity usually subsides within a few days after the treatment. Some people may experience gum irritation or soreness, which is also typically temporary and resolves quickly. In rare cases, other side effects such as throat irritation or white spots on the teeth may occur. The dentist will take precautions to minimize any risks, such as applying a protective barrier to your gums. If you have a history of sensitive teeth, inform your dentist before the procedure so they can take appropriate measures to reduce discomfort. Overall, the side effects of Zoom Whitening are usually mild and temporary, and the benefits of a brighter smile often outweigh any minor inconveniences.
Alternatives to Zoom Whitening
If Zoom Whitening isn’t the right choice for you, several alternatives are available for teeth whitening in Ottawa. At-home whitening kits, available over-the-counter or prescribed by your dentist, offer a more gradual whitening process using custom-fitted trays or strips. These are generally more affordable but may take longer to produce visible results. Another option is professional teeth cleaning, which can remove surface stains and make your teeth appear brighter. Porcelain veneers are a cosmetic option that involves placing thin shells over the front of your teeth to correct discoloration and other imperfections. Dental bonding is another alternative, where a tooth-colored resin is applied to the teeth and then hardened with a special light. The best alternative depends on your specific needs, the degree of discoloration, and your budget. Consult with your dentist to discuss the options and determine the most suitable treatment for achieving your desired smile.
