Understanding Teeth Whitening Basics
Embarking on the journey to a brighter smile requires understanding the fundamentals of teeth whitening. This process, designed to lighten the shade of your teeth, primarily targets the discoloration caused by stains. These stains can be extrinsic, affecting the enamel surface, or intrinsic, originating from within the tooth structure. The effectiveness of whitening treatments hinges on the type of stain and the chosen method. Whether you’re seeking a subtle enhancement or a dramatic transformation, knowing the basics will empower you to make informed decisions and achieve the radiant results you desire. This foundation is crucial for understanding the subsequent sections, where we’ll delve deeper into the science, causes, and methods of teeth whitening.
The Science Behind Teeth Discoloration
Tooth discoloration is a complex phenomenon, largely driven by the interaction between the tooth’s surface (enamel) and the substances it encounters. Enamel, though the hardest substance in the human body, is porous. These microscopic pores allow pigments from food, drinks, and tobacco to accumulate, leading to staining. As we age, the enamel thins, revealing more of the yellowish dentin underneath, further contributing to the perception of discoloration. The science also involves the chemical reactions of whitening agents, typically hydrogen peroxide or carbamide peroxide, which break down stain molecules into smaller, less visible compounds. Understanding these mechanisms is critical for appreciating how different whitening methods work and why some are more effective than others. This knowledge also helps you make the most informed choices for effective results, especially within a 3-day timeframe.
Common Causes of Tooth Staining

Several factors contribute to the staining of teeth, making them appear less bright over time. Dietary choices play a significant role; dark-colored beverages like coffee, tea, and red wine are notorious culprits. These drinks contain chromogens, compounds that readily adhere to the enamel. Similarly, highly pigmented foods such as berries and curries can also stain. Tobacco use, whether through smoking or chewing, is another major cause, introducing nicotine and tar that discolor teeth. Poor oral hygiene allows plaque and tartar to accumulate, trapping stains and further darkening the teeth. Certain medications, such as tetracycline antibiotics, can cause intrinsic staining, affecting the tooth structure itself. Understanding these common causes allows for targeted preventative measures and informed choices in whitening strategies, ultimately aiming for those amazing results in just 3 days.
Effective Whitening Methods for Quick Results
When time is of the essence, choosing the right whitening methods is crucial. For rapid results, professional treatments often provide the quickest and most dramatic changes. However, several at-home options can also yield significant improvements within a few days. The key is to select methods with a higher concentration of active whitening agents, such as hydrogen peroxide or carbamide peroxide. These agents penetrate the enamel to break down stain molecules effectively. Combining different approaches, such as using whitening toothpaste alongside at-home kits, can boost the impact. Additionally, maintaining excellent oral hygiene is essential to maximize the effectiveness of any whitening treatment. The goal is to achieve a visibly whiter smile as quickly as possible, and choosing the right methods can make all the difference.
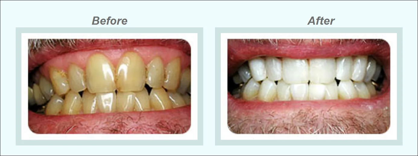
Professional Teeth Whitening Options
For those seeking the fastest and most potent whitening, professional treatments administered by a dentist are the gold standard. In-office procedures typically involve a higher concentration of hydrogen peroxide, often activated by a special light, accelerating the whitening process. The dentist can monitor your progress and ensure the safety of the treatment, minimizing the risk of sensitivity or damage to the enamel. These treatments often provide results in a single session, making them ideal for achieving dramatic changes quickly. Before undergoing professional whitening, your dentist will assess your oral health and determine if you are a suitable candidate. This assessment ensures the treatment is both effective and safe, paving the way for a brighter, more confident smile. Remember to always consult with a professional to ensure the best and most effective results.
In-Office Whitening Procedures

In-office whitening procedures offer a highly controlled and effective way to achieve rapid results. The process begins with the dentist protecting your gums and soft tissues, followed by the application of a high-concentration whitening gel, typically hydrogen peroxide. This gel is then activated using a specialized light, such as a laser or LED, which accelerates the whitening process. The light helps the whitening agents penetrate the enamel, breaking down stain molecules more efficiently. The treatment usually involves several cycles of gel application and light exposure, lasting around an hour or less. The dentist closely monitors your teeth throughout the procedure, making adjustments as needed to minimize sensitivity. These procedures are designed to provide immediate and dramatic results, making them a top choice for those seeking a quick smile transformation. It is a great option for people looking for immediate results, and dentists are able to help monitor for any sensitivity issues or other problems.
At-Home Whitening Kits
At-home whitening kits offer a convenient and more affordable alternative to professional treatments. These kits typically contain custom-fitted trays or pre-filled strips that hold a whitening gel, usually with a lower concentration of hydrogen peroxide or carbamide peroxide. You wear the trays or apply the strips for a specified time each day, allowing the whitening agents to penetrate the enamel and lighten your teeth. The effectiveness of at-home kits can vary depending on the product and the individual’s teeth. Results are often seen within a few days to a few weeks of consistent use. Always follow the instructions carefully and consult your dentist if you experience any sensitivity or other issues. These kits are a great option for those who want a less expensive method, and are able to get whiter teeth within a week or so.
Whitening Toothpastes and Mouthwashes
Whitening toothpastes and mouthwashes can be a valuable addition to your daily oral hygiene routine, particularly for maintaining a brighter smile after whitening treatments. These products typically contain mild abrasives, such as silica, to remove surface stains. Some also include low concentrations of whitening agents, such as hydrogen peroxide or carbamide peroxide, to help lighten teeth. While these products are generally effective at removing surface stains and preventing new ones, they are less likely to produce dramatic whitening results compared to professional or at-home treatments. Consistency is key, using these products regularly can help maintain your smile’s brightness. Also, be sure to look for products that are safe for your enamel and gums. These products are a great addition to your daily routine.
3-Day Whitening Techniques to Try

Achieving noticeable results in just 3 days requires a strategic approach. Consider combining several methods. For example, use a high-concentration at-home whitening kit alongside a whitening toothpaste. Follow the kit’s instructions diligently, and brush your teeth with the toothpaste at least twice daily. Avoid foods and drinks known to cause staining, such as coffee, tea, and red wine. If possible, get a professional cleaning before starting your 3-day whitening plan. This will remove surface stains and allow the whitening agents to work more effectively. Finally, maintain excellent oral hygiene to prevent new stains from forming. By implementing these techniques and being consistent with your routine, you can maximize your chances of achieving amazing results in just three days. This can set you up for long-term success in keeping your teeth white, and your smile shining bright.
The Best Products for Rapid Whitening
When aiming for rapid whitening, choosing the right products is crucial. Look for at-home whitening kits that contain a higher concentration of hydrogen peroxide or carbamide peroxide. These stronger formulations will deliver faster results. Consider products that also include a desensitizing agent, such as potassium nitrate, to minimize potential sensitivity. Check reviews and recommendations to find reputable brands known for their effectiveness and safety. Whitening toothpastes with polishing agents can help remove surface stains, and are a good supplement to your other chosen methods. Always consult your dentist for recommendations on suitable products for your specific needs. Be sure to follow all instructions on the products, and if you feel any undue sensitivity, stop use immediately and contact your dentist.
Step-by-Step Guide to 3-Day Whitening
To maximize your chances of success with a 3-day whitening plan, follow these steps. Start by consulting your dentist to ensure you are a good candidate and to rule out any underlying dental issues. Before beginning the whitening process, brush your teeth thoroughly, and floss. Then, use your chosen whitening method, whether it’s an at-home kit or a professional treatment. Follow the manufacturer’s instructions meticulously, and avoid eating or drinking anything that could stain your teeth. Maintain strict oral hygiene, brushing and flossing regularly. After completing your whitening sessions, be sure to rinse your mouth with water or a fluoride mouthwash. Finally, monitor your progress, and adjust your approach if needed. With these steps, you will set yourself up for success, and a beautifully bright smile in just three days. Be sure to contact your dentist or oral hygienist if you have any questions, or if you experience any issues.
Maintaining Your Bright Smile

Once you’ve achieved your desired level of whiteness, maintaining your bright smile requires ongoing effort. Regular dental checkups and cleanings are essential to remove any surface stains and keep your teeth healthy. Avoid or limit consumption of staining foods and drinks, such as coffee, tea, red wine, and berries. If you consume these items, rinse your mouth with water immediately afterward to minimize staining. Practice good oral hygiene habits, including brushing twice daily, flossing, and using a whitening toothpaste. You may also consider occasional touch-up treatments with at-home whitening kits to maintain your results. Protecting your bright smile is an ongoing process, but with the right habits, you can enjoy a radiant smile for years to come.
Foods and Drinks to Avoid
To protect your newly whitened teeth and maintain your bright smile, it’s essential to be mindful of what you consume. Certain foods and drinks are notorious for staining teeth. Dark-colored beverages like coffee, tea, and red wine contain pigments that can easily adhere to the enamel, leading to discoloration. Similarly, highly pigmented foods such as berries, soy sauce, and curries can also contribute to staining. Tobacco use, both smoking and chewing, is a major culprit, as it introduces nicotine and tar that darken teeth. It’s best to avoid or limit these items, especially immediately after a whitening treatment. If you do consume them, rinse your mouth with water afterward to minimize staining. Prioritizing your diet can make a huge difference in achieving long-term success with your 3-day whitening results.
Best Practices for Long-Term Whitening
For long-term success with teeth whitening, adopt these best practices. Regular dental checkups and cleanings are crucial to remove any surface stains and address any underlying dental issues. Maintain excellent oral hygiene by brushing twice daily, flossing once a day, and using a whitening toothpaste to remove surface stains. Avoid or limit the consumption of staining foods and drinks. If you do consume them, rinse your mouth with water immediately afterward. Consider using touch-up whitening treatments periodically, following the instructions on the packaging and consulting your dentist if you have any concerns. By consistently implementing these practices, you can extend the longevity of your bright smile and enjoy the benefits of your whitening efforts for years to come. Always consult with a dentist to ensure long-term success.
