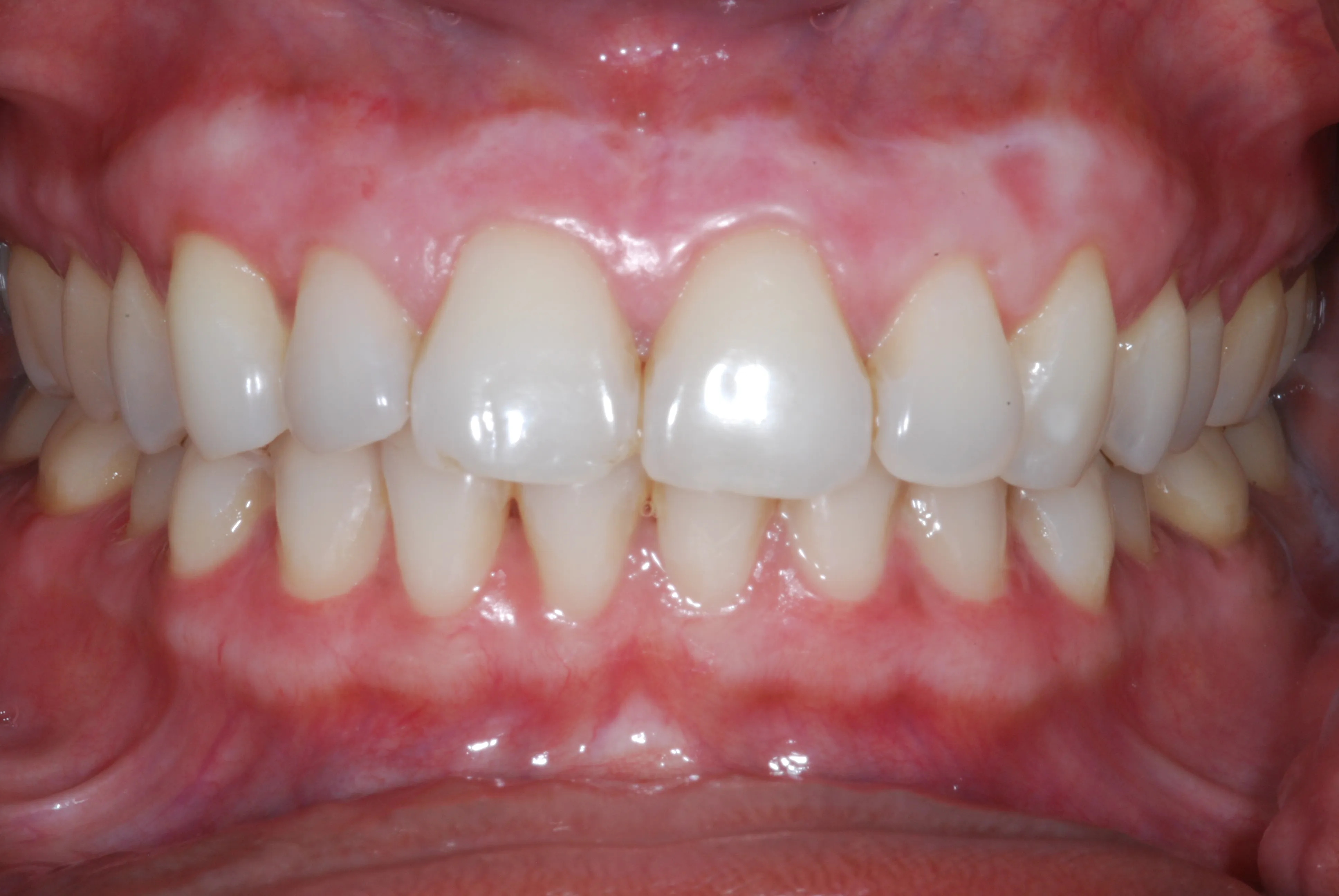
What Causes White Spots on Gums After Whitening?
Teeth whitening is a popular cosmetic procedure, but sometimes, it can lead to unexpected side effects. One of the most common concerns is the appearance of white spots on the gums after the process. These spots, often described as a blanching effect, can be unsettling. Understanding the underlying causes is the first step in addressing this issue and ensuring the health and aesthetics of your smile. The white spots are typically a result of irritation or damage to the soft tissues of the mouth, primarily the gums. This irritation can manifest in several ways, each with its own set of contributing factors. The chemicals used in whitening agents are designed to penetrate the enamel and remove stains, but they can inadvertently affect the delicate gum tissues if not handled carefully. Proper techniques during the whitening procedure are critical to minimize the risk of gum irritation and the subsequent appearance of white spots. Furthermore, a comprehensive understanding of the whitening process and its potential side effects can help you make informed decisions and take proactive measures to protect your oral health.
Soft Tissue Damage from Whitening Products
The primary culprit behind white spots on gums after whitening is the exposure of the soft tissues to whitening products. These products, typically containing hydrogen peroxide or carbamide peroxide, are potent chemicals designed to bleach the enamel of your teeth. However, these chemicals are not selective and can cause damage to the gums if they come into contact with them. Soft tissue damage can occur through several mechanisms, including direct chemical burns, irritation, and inflammation. The severity of the damage can vary depending on the concentration of the whitening agent, the duration of exposure, and the sensitivity of the individual’s gums. Protective measures, such as the use of rubber dams or specialized gum shields during professional whitening treatments, are designed to minimize the risk of soft tissue damage. Similarly, careful application and adherence to instructions are essential when using home whitening kits to prevent excessive exposure and potential complications. Understanding the specific chemical properties of the whitening products and their potential effects on the gums is vital for minimizing the occurrence of white spots and ensuring a safe and effective whitening experience.
Chemical Burns and Irritation

Chemical burns and irritation are direct consequences of the whitening agents coming into contact with the delicate gum tissues. Hydrogen peroxide and carbamide peroxide are oxidizing agents that can cause damage to the cells if they are not properly contained. When these chemicals come into direct contact with the gums, they can cause a burning sensation, redness, and inflammation. The white spots themselves represent areas where the surface cells of the gums have been affected, leading to a change in their appearance. The level of irritation depends on various factors, including the concentration of the whitening agent and the duration of exposure. Professional whitening treatments use higher concentrations of the agents and thus require strict protective measures, such as the application of a gingival barrier, to safeguard the gums. Home whitening kits, on the other hand, typically use lower concentrations. However, it is crucial to adhere to the product instructions carefully, as overuse or improper application can still lead to irritation. Preventing chemical burns and irritation involves careful product selection, proper application techniques, and prompt intervention if any adverse reactions occur.
Sensitivity and Inflammation of Gums
Beyond direct chemical burns, the use of teeth whitening products can also lead to increased sensitivity and inflammation of the gums. This is often a result of the chemicals disrupting the natural balance of the oral environment. The gums may become more sensitive to external stimuli, such as hot or cold temperatures, and may also become inflamed. The inflammatory response is the body’s way of trying to heal the damaged tissues, but it can also manifest as redness, swelling, and pain. Whitening agents can also lead to changes in the composition of saliva, which plays a crucial role in protecting the gums and teeth. These changes can further exacerbate gum sensitivity and inflammation. While the appearance of white spots is a visual cue, sensitivity and inflammation often come before or alongside, signaling a problem. Maintaining good oral hygiene is particularly important during and after teeth whitening to minimize gum sensitivity and inflammation. This includes gentle brushing, flossing, and avoiding any potential irritants, such as overly abrasive toothpaste or harsh mouthwashes. Addressing sensitivity and inflammation promptly can promote faster healing and prevent the development of more serious gum problems.
How Common Are White Spots on Gums?
The prevalence of white spots on gums after teeth whitening can vary, but they are a relatively common occurrence, particularly if precautions aren’t taken. The exact incidence rate is difficult to pinpoint, as it depends on several factors, including the type of whitening treatment, the concentration of the whitening agent, and the skill of the dental professional. In professional settings, where protective measures like rubber dams and gingival barriers are standard, the incidence is generally lower. However, the potential for white spots still exists. With home whitening kits, the risk may be slightly higher due to the potential for user error or non-compliance with instructions. It’s important to remember that not everyone who undergoes teeth whitening will experience these spots. Many individuals have successful whitening treatments without any adverse effects on their gums. However, understanding the frequency of this side effect is vital for managing expectations and taking appropriate preventive measures. It is important to consult a dentist before undergoing teeth whitening procedures to assess individual risk factors and discuss the likelihood of experiencing white spots. The dentist can help you make an informed decision and guide you through the best practices for minimizing potential side effects.
Factors That Increase Risk

Several factors can increase the risk of developing white spots on the gums after teeth whitening. Understanding these factors is essential for prevention and proper treatment. One of the most significant factors is the individual’s sensitivity to the whitening agents. Some people naturally have more sensitive gums, making them more susceptible to irritation. The concentration of the whitening agent is another critical factor. Higher concentrations, commonly used in professional treatments, pose a greater risk if not handled with extreme care. The duration of the whitening treatment also influences the likelihood of white spots. Longer treatment times, particularly if combined with high-concentration agents, can increase the risk. Poor oral hygiene practices can also contribute. Gums that are already inflamed or irritated from conditions like gingivitis are more vulnerable to the effects of whitening agents. The presence of existing dental work, such as fillings or crowns, can also affect the outcome. These restorations may not whiten the same way natural teeth do, potentially creating an uneven appearance. Furthermore, the technique used by the dental professional or the individual applying the home kit is essential. Improper application, such as allowing the whitening agent to come into contact with the gums for extended periods, significantly raises the risk.
Whitening Agent Concentration
The concentration of the whitening agent is a critical factor in determining the risk of white spots on the gums. Whitening agents, primarily hydrogen peroxide or carbamide peroxide, come in various concentrations. Professional whitening treatments typically use higher concentrations than home whitening kits to achieve faster and more dramatic results. While higher concentrations can be more effective at whitening teeth, they also pose a greater risk to the gums. The higher the concentration, the more potent the chemical and the more likely it is to cause irritation or damage to the soft tissues. The dental professional should carefully assess the patient’s oral health and sensitivity before selecting the appropriate concentration. They must also use protective measures, such as rubber dams or gingival barriers, to shield the gums from direct exposure. Home whitening kits, with their lower concentrations, are generally considered safer. However, it is still vital to follow the manufacturer’s instructions carefully. Overuse or improper application of even a low-concentration agent can lead to gum irritation and the development of white spots. Understanding the relationship between concentration and risk allows for informed decisions. It is vital to balance effectiveness with safety.
Duration of Whitening Treatment
The duration of the teeth whitening treatment is another significant factor that affects the risk of developing white spots on the gums. The longer the gums are exposed to whitening agents, the more likely they are to experience irritation or damage. In professional settings, treatment times are carefully controlled to minimize the exposure time and the risk of side effects. This typically involves multiple short sessions or treatments. In home whitening kits, the duration of use is specified on the product instructions. Overuse or exceeding the recommended treatment time can increase the risk of gum problems. Following the manufacturer’s instructions is vital. This ensures that the gums are not exposed to the whitening agents for too long. Factors like the concentration of the whitening agent and the individual’s gum sensitivity must be considered. Individuals with more sensitive gums may be more prone to white spots. They may require shorter treatment durations or the use of gentler whitening products. Regularly monitoring the gums during the whitening process is essential. Any signs of irritation, such as redness or discomfort, should prompt immediate action. This action may involve discontinuing treatment or consulting a dentist. Adhering to recommended treatment durations and monitoring for any adverse reactions are critical for minimizing the risk of white spots and ensuring a safe and effective teeth whitening experience.
Oral Hygiene Practices

Oral hygiene practices play a vital role in preventing white spots on gums after teeth whitening. Maintaining good oral hygiene is important before, during, and after the whitening process to minimize the risk of gum irritation and inflammation. Proper oral hygiene habits, such as regular brushing, flossing, and using mouthwash, can strengthen the gums. This makes them more resistant to the effects of whitening agents. Individuals with healthy gums are less likely to experience adverse reactions. It’s essential to address any existing oral health issues, such as gingivitis or periodontitis, before undergoing teeth whitening. These conditions can make the gums more vulnerable to irritation. Gentle brushing techniques are critical, especially during and after whitening. Avoid using overly abrasive toothbrushes or brushing too vigorously, as this can further irritate the gums. Flossing daily to remove plaque and food particles is also essential. Consider using a mouthwash specifically designed to promote gum health. These mouthwashes often contain ingredients that soothe and protect the gums. Following these practices can significantly reduce the risk of developing white spots and help ensure a healthy and beautiful smile. Regular dental check-ups are also important to monitor oral health and address any issues promptly.
Preventing White Spots on Gums
Preventing white spots on the gums after teeth whitening requires a proactive approach that includes careful planning and execution of the whitening procedure. It is essential to understand that prevention is better than cure when it comes to gum health. Prior to any whitening treatment, a comprehensive dental examination is crucial. This allows the dentist to assess the patient’s oral health and identify any potential risk factors. Individuals with sensitive gums or pre-existing conditions should discuss their concerns with their dentist. They can then consider alternative treatment options. In professional whitening treatments, the use of protective measures is a must. This includes the use of rubber dams or gingival barriers to isolate the gums and protect them from direct contact with the whitening agents. Careful application techniques are also essential. The whitening agent should be applied precisely to the teeth, avoiding any unnecessary contact with the gums.
Professional Whitening Procedures
Professional whitening procedures are typically conducted in a dental office by trained professionals, incorporating strict protocols and measures to minimize the risk of white spots on the gums. One of the most important steps in professional whitening is the careful isolation of the gums. Dentists use a variety of methods to achieve this, including the use of rubber dams or gingival barriers. Rubber dams are thin sheets of latex that are placed over the teeth to isolate them from the surrounding tissues. This creates a barrier between the whitening agent and the gums, preventing any direct contact. Gingival barriers are specialized materials that are applied to the gums to create a protective seal. They can be light-cured to harden and provide a strong barrier. In addition to isolation, professional whitening procedures also involve careful application of the whitening agent. Dentists use precise techniques to ensure that the agent is applied evenly to the teeth and that it does not come into contact with the gums. The concentration of the whitening agent is also carefully controlled. Dentists use lower concentrations or adjust the treatment time. The goal is to balance effectiveness with safety. Post-treatment care also includes providing patients with clear instructions on oral hygiene and aftercare. The dentists can recommend specific products to reduce sensitivity and soothe the gums. Professional whitening procedures, with their emphasis on protective measures, careful application, and post-treatment care, offer a significant advantage in minimizing the risk of white spots on the gums.
Home Whitening Kits

Home whitening kits offer a convenient and cost-effective alternative to professional treatments. However, they require careful attention to ensure safe and effective results. The first step is to consult with a dentist. They can determine if a home whitening kit is appropriate for your oral health and offer advice on the best product to use. When using a home whitening kit, it is essential to carefully follow the instructions provided by the manufacturer. This includes the correct application of the whitening agent, the recommended treatment duration, and any specific precautions. Overuse or improper application can increase the risk of gum irritation and the development of white spots. Consider using a custom-fitted tray, if available. Custom trays are created by a dentist to fit your teeth perfectly, ensuring the whitening agent makes minimal contact with the gums. Trays bought over the counter might not fit as well, increasing the risk. It is also important to monitor your gums closely during the treatment process. Watch out for any signs of irritation, such as redness, swelling, or pain. If you experience any of these symptoms, discontinue use and consult your dentist immediately. Practicing good oral hygiene is crucial. Brush your teeth gently, floss regularly, and consider using a desensitizing toothpaste to reduce sensitivity. Proper use of home whitening kits, with a focus on adherence to instructions, careful monitoring, and proactive oral hygiene, can help minimize the risk of white spots on the gums and ensure a successful teeth whitening experience.
What To Do if You Notice White Spots
If you notice white spots on your gums after teeth whitening, it’s important to take prompt action to address the issue and promote healing. Early intervention can often prevent the problem from worsening and minimize any potential long-term effects. The first and most important step is to stop the whitening treatment immediately. Continuing to use the whitening products could further irritate the gums and exacerbate the problem. This allows the gums to begin the healing process without further exposure to the irritating agents. The next step involves rinsing your mouth thoroughly with water. This helps to remove any residual whitening agent and can soothe the irritated tissues. Use lukewarm water, as hot or cold water could increase sensitivity. It is also important to avoid any potential irritants that could make the condition worse. This includes avoiding highly acidic foods and drinks, such as citrus fruits, sodas, and vinegar-based products. These can further irritate the gums. Stay away from spicy foods, as they could also exacerbate the discomfort.
Rinse Mouth with Water
Rinsing your mouth with water is a simple yet effective step in managing white spots on the gums after teeth whitening. Rinsing with water can help to remove any residual whitening agent, preventing further irritation. Use lukewarm water, as excessively hot or cold water might increase sensitivity. The act of rinsing helps to flush away any lingering chemicals that could be causing harm. Gently swish the water around your mouth for about 30 seconds, ensuring that all areas of the gums are exposed to the water. Repeat this process several times a day, especially after meals and after brushing your teeth. After rinsing, be sure to avoid any harsh mouthwashes containing alcohol, as these could further irritate the gums. Instead, consider using a gentle, alcohol-free mouthwash or saltwater rinse. This can promote healing and reduce inflammation. Make sure to gently brush your teeth, avoiding any abrasive toothpastes that might cause further irritation. Maintaining a clean oral environment is crucial for promoting healing. This can significantly reduce the discomfort and speed up the healing process of the white spots.
Avoid Irritating Foods and Drinks

Avoiding irritating foods and drinks is crucial to minimize discomfort and promote healing when you notice white spots on your gums after teeth whitening. Certain foods and drinks can irritate the sensitive tissues. Highly acidic foods and beverages are major culprits. Citrus fruits, such as lemons, oranges, and grapefruits, contain high levels of citric acid, which can further irritate the gums. Sodas and carbonated beverages also tend to be highly acidic and should be avoided. Spices are another potential irritant. Spicy foods can cause inflammation and discomfort, making it difficult for the gums to heal. It is best to stay away from spicy dishes, like chili and curries, until the condition has improved. Hard, crunchy foods can also cause mechanical irritation, which could delay healing. Choose softer foods that are gentle on your gums. Stick to foods like cooked vegetables, yogurt, and mashed potatoes. Consuming these foods will not only provide necessary nutrition but also minimize the risk of exacerbating the condition. It’s important to stay hydrated by drinking plenty of water. Water helps to flush out any remaining irritants and promotes healing. Staying away from alcohol and tobacco is also advised, as they can impede the healing process. By avoiding these potentially irritating foods and drinks, you can significantly improve your comfort levels. You can also encourage faster healing of the white spots.
Consult a Dentist
Consulting a dentist is a crucial step in addressing white spots on your gums after teeth whitening. A dentist can properly assess the condition of your gums and determine the underlying cause of the white spots. They will be able to provide accurate diagnosis and create a personalized treatment plan. The dentist can evaluate the severity of the white spots and determine if there is any underlying damage to the soft tissues. The dentist can also assess any other potential oral health problems. This could be important in creating a comprehensive treatment plan. A dentist can provide you with a diagnosis and offer a range of treatment options. This can include recommendations for soothing the gums, managing any pain or discomfort, and preventing future occurrences. They might recommend specific oral hygiene practices or prescribe medications to aid in the healing process. A dentist can also determine whether any professional treatments are needed. The dentist is also the most reliable source of information regarding the whitening treatment. They can help you understand the potential side effects. They can also guide you on the best methods for ensuring a safe and effective whitening experience. Having a dentist monitor the healing progress is essential to ensure that the gums recover properly. This is especially important to ensure that there are no long-term complications.
Treatment Options for White Spots
Several treatment options are available for addressing white spots on the gums after teeth whitening, ranging from simple home remedies to professional dental procedures. The choice of treatment depends on the severity of the condition, the individual’s overall oral health, and the dentist’s recommendations. It’s crucial to consult a dentist for an accurate diagnosis and a personalized treatment plan. In mild cases, white spots may resolve on their own with time. However, it is still important to follow the recommended oral hygiene practices. This includes gentle brushing, flossing, and avoiding irritants. In other cases, the dentist may recommend over-the-counter remedies to soothe and protect the gums. For more severe cases, professional treatments may be necessary. The goal of the treatments is to alleviate discomfort, promote healing, and prevent further complications.
Over-the-counter Remedies

Over-the-counter remedies offer a convenient and accessible way to manage white spots on gums after teeth whitening. These remedies can provide relief from discomfort, reduce inflammation, and promote healing. Saltwater rinses are a simple yet effective home remedy. Dissolve half a teaspoon of salt in a cup of warm water. Swish the solution around your mouth for about 30 seconds, then spit it out. Saltwater rinses have antiseptic properties. They can help to soothe the gums and reduce inflammation. Over-the-counter mouthwashes that are alcohol-free may be recommended. These mouthwashes contain ingredients designed to promote gum health, such as fluoride or chlorhexidine. They help to reduce irritation and protect the gums. Desensitizing toothpastes are also available. They contain ingredients that can reduce gum sensitivity and discomfort. The toothpaste will make brushing gentler. Avoid using toothpastes that contain harsh ingredients or abrasives. They could make the condition worse. You can apply aloe vera gel directly to the affected area. Aloe vera has soothing and anti-inflammatory properties that can promote healing. It is always recommended to consult with your dentist before using any over-the-counter remedies. The dentist can provide personalized recommendations based on your specific needs.
Professional Treatments
Professional treatments are available in cases of more severe white spots. They can help to provide more intensive care. The dentist may prescribe medications to reduce inflammation and promote healing. Corticosteroid creams can be prescribed. These can also be directly applied to the affected gums. They are effective in reducing inflammation. Another option may be laser therapy. Low-level laser therapy can stimulate tissue regeneration and speed up the healing process. The dentist can also remove any dead or damaged tissue. This would promote faster healing. A dentist may provide a personalized treatment plan. This plan will address the specific needs of the individual and the severity of their condition. Regular follow-up appointments are important to monitor progress. It will also provide an opportunity to make any necessary adjustments to the treatment plan. Professional treatments often involve more intensive care. They are tailored to promote healing. These treatments are implemented to ensure optimal gum health. They should always be performed by a licensed and experienced dentist.
The Long-Term Outlook
The long-term outlook for white spots on the gums after teeth whitening is generally positive. Most cases resolve with proper care and time, often without any long-lasting effects. However, the specific outcome can vary depending on the severity of the condition, the individual’s oral health, and the effectiveness of the treatment. In many cases, white spots will gradually disappear on their own as the gums heal. Following the recommended oral hygiene practices and avoiding any potential irritants can significantly improve the chances of a successful recovery. In more severe cases, or when the white spots persist, professional treatments may be necessary. These treatments can help to accelerate the healing process and prevent any long-term complications. Regular dental check-ups are vital for monitoring the health of the gums and addressing any issues promptly. The dentist can assess the healing progress and make any necessary adjustments to the treatment plan. The key to a favorable long-term outlook is early intervention and adherence to the recommended care plan. Taking proactive steps to address the issue, such as stopping the whitening treatment, rinsing the mouth with water, and consulting a dentist, can make a significant difference. With proper care and attention, most individuals can expect to make a full recovery and maintain healthy gums.
Can White Spots on Gums Be Permanent?

The possibility of white spots on gums becoming permanent is a valid concern, and it’s important to understand the factors that influence this. In most cases, the white spots that appear after teeth whitening are not permanent and will resolve with time and proper care. The underlying cause of the white spots, the damage to the gums, is usually reversible. The body’s natural healing processes will work to repair the affected tissues. However, in some rare instances, the white spots can become permanent. This is more likely when the damage to the gums is severe. This could be due to high-concentration whitening agents or prolonged exposure. Pre-existing conditions like gingivitis or other oral health problems can also increase the risk of permanent changes. Prompt intervention is very important. Early treatment helps to minimize the severity of the damage and reduce the risk of permanent changes. Avoiding any further irritation, such as stopping the whitening treatment, rinsing with water, and avoiding irritants, is also important. Follow-up care from a dentist plays a vital role in monitoring healing. They can assess the condition. They can also provide treatments to promote faster recovery. Following your dentist’s advice and taking appropriate measures can greatly increase the chances of a full recovery and reduce the risk of permanent white spots. While permanence is rare, a proactive approach and prompt attention to any signs of damage are essential for ensuring the best possible outcome.
