What is Tooth Whitening
Tooth whitening is a cosmetic dental procedure designed to lighten the color of your teeth. It’s a popular treatment for people seeking to improve their smile and boost their confidence. Discoloration can occur for various reasons, including aging, genetics, and lifestyle choices such as consuming staining foods and drinks like coffee, tea, and red wine, and smoking or tobacco use. Tooth whitening treatments can effectively address these stains and brighten your smile significantly. The process typically involves using bleaching agents to remove stains and discoloration, revealing a whiter and more radiant appearance. Whether you are preparing for a special event or simply want to improve your overall look, tooth whitening can be a transformative treatment.
Types of Tooth Whitening Treatments
Several tooth whitening treatments are available, offering different approaches and levels of effectiveness. These treatments generally fall into two main categories professional and over-the-counter options. Professional treatments, performed by a dentist, often involve stronger bleaching agents and can produce more dramatic and immediate results. Over-the-counter options, on the other hand, are more accessible and include whitening toothpastes, strips, and gels. These products are typically less potent and may take longer to show noticeable changes. Choosing the right treatment depends on your specific needs, the severity of your staining, and your desired results. Consulting with a dentist is crucial to determine which option best suits your oral health and aesthetic goals, ensuring both safety and efficacy.
In-Office Tooth Whitening Procedures

In-office tooth whitening, also known as professional teeth whitening, is a procedure performed by a dentist in a clinical setting. This treatment is known for its speed and efficiency in achieving noticeable results in a single appointment. The process typically begins with a thorough examination and cleaning of the teeth to remove any surface stains. A protective barrier is then applied to the gums to shield them from the bleaching agent. A high-concentration hydrogen peroxide or carbamide peroxide bleaching gel is applied to the teeth, which is then often activated by a special light or laser to accelerate the whitening process. The procedure usually involves multiple applications of the bleaching agent, each lasting for a short period. In-office whitening is a safe and effective way to achieve a significantly brighter smile under professional supervision, minimizing the risk of complications and ensuring optimal results.
How In-Office Tooth Whitening Works
The core of in-office tooth whitening lies in the chemical reaction of the bleaching agent. The active ingredient, usually hydrogen peroxide or carbamide peroxide, penetrates the enamel of the teeth and breaks down the stain molecules. These molecules are small and effectively absorbed by the tooth structure, causing discoloration. The bleaching agent breaks these larger molecules into smaller ones, which reflect less light and therefore appear lighter, creating the effect of a brighter smile. Often, the dentist uses a specialized light or laser to accelerate this process. This light helps to speed up the chemical reaction of the bleaching agent, resulting in quicker and more effective whitening. Throughout the procedure, the dentist carefully monitors the process to ensure the safety of the patient’s teeth and gums. The entire procedure, including preparation, bleaching application, and post-treatment care, is usually completed in about an hour, making it a convenient option for those seeking quick and significant improvements in their smile.
The Benefits of In-Office Whitening
In-office tooth whitening offers numerous benefits compared to at-home alternatives. One of the most significant advantages is the immediate and dramatic results it provides. The high concentration of bleaching agents used in the office can produce a significantly whiter smile in just one session. Moreover, the procedure is performed under the supervision of a dental professional, ensuring safety and minimizing the risk of side effects such as tooth sensitivity. The dentist can also assess the patient’s oral health and recommend the most suitable treatment plan. Another benefit is the convenience. Patients save time and effort, as the entire process is completed within a single appointment. This is especially appealing for individuals with busy schedules. Finally, professional whitening often provides a more even and consistent result, as the dentist can control the application and ensure the bleaching agent reaches all areas of the teeth effectively, leading to a brighter and more confident smile.
At-Home Tooth Whitening Options

At-home tooth whitening options offer a more accessible and convenient way to brighten your smile. These options include over-the-counter products, such as whitening strips, toothpastes, and gels, and professional at-home kits provided by your dentist. Over-the-counter products are generally less potent and may require longer use to achieve noticeable results. These options are suitable for mild staining and are a good starting point for those new to teeth whitening. Professional at-home kits involve custom-fitted trays and stronger bleaching agents prescribed by your dentist. They offer a balance of effectiveness and convenience, providing better results than over-the-counter options while still being performed at home. At-home whitening is a flexible option that allows individuals to whiten their teeth at their own pace, making it a practical solution for many looking to improve their smile.
Over-the-Counter Whitening Products
Over-the-counter whitening products are readily available in most drugstores and supermarkets. These products provide a convenient and cost-effective approach to teeth whitening. The most common types include whitening toothpastes, strips, and gels. Whitening toothpastes contain mild abrasives and chemicals that help remove surface stains, offering a subtle brightening effect. Whitening strips are thin, flexible strips coated with a bleaching agent that are applied directly to the teeth. Whitening gels are applied using a tray or brush and are generally more potent than toothpastes. These products contain a lower concentration of bleaching agents, which make them safer for unsupervised use. However, they also tend to produce slower and less dramatic results than professional treatments. For individuals with mild staining, over-the-counter products can be a suitable option to maintain a brighter smile, although they may require consistent use over several weeks to achieve noticeable improvements.
Professional At-Home Whitening Kits
Professional at-home whitening kits offer a more effective and customized approach to teeth whitening compared to over-the-counter products. These kits are prescribed by your dentist and involve custom-fitted trays designed to fit your teeth perfectly. This ensures that the bleaching agent is evenly distributed and in contact with your teeth. The dentist provides a stronger bleaching gel than found in over-the-counter products, often with a higher concentration of hydrogen peroxide or carbamide peroxide. This allows for more significant and faster whitening results. The dentist will also guide the correct use of the kit, monitor your progress, and provide advice to minimize potential side effects. Professional at-home kits offer a good balance between effectiveness and convenience, allowing you to whiten your teeth in the comfort of your home while under professional guidance. They are a reliable option for those seeking noticeable improvements in their smile.
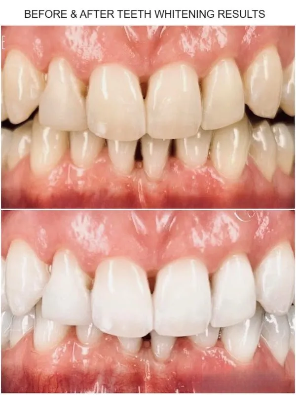
Before & After Tooth Whitening

The transformation from before to after tooth whitening can be remarkable, dramatically improving the aesthetics of your smile and boosting your confidence. Before treatment, individuals often have teeth with stains and discoloration caused by various factors, such as age, diet, and lifestyle. These stains can range from mild discoloration to more severe yellowing or browning. After undergoing a tooth whitening procedure, whether in-office or at home, the results are usually noticeable immediately. The teeth become significantly lighter, often several shades whiter, which can significantly improve the overall appearance. The before and after photos showcase the dramatic change, giving a clear picture of the procedure’s effectiveness. Seeing the before and after results motivates the patient to improve their oral hygiene. Remember, the exact results will vary depending on the treatment method, the severity of the staining, and the individual’s natural tooth color, but the impact on appearance is undeniable and can provide a significant boost in self-esteem.
What to Expect Before Treatment
Before undergoing tooth whitening, there are several things to expect and prepare for. First, your dentist will conduct a thorough examination of your teeth and gums to ensure you are a suitable candidate for the treatment. This examination involves assessing your oral health, identifying any existing dental issues such as cavities or gum disease, and determining the type and severity of the tooth staining. If any dental problems are found, they will need to be addressed before the whitening process can begin. The dentist will also discuss your expectations, explain the different treatment options, and advise on the best approach to achieve the desired results. In some cases, the dentist might recommend a professional cleaning before whitening to remove surface stains and plaque. It is essential to be honest with your dentist about your oral hygiene habits, lifestyle, and any medications you are taking, as these factors can influence the effectiveness and safety of the whitening procedure.
The Whitening Process
The tooth whitening process varies depending on the chosen method, but it generally follows a series of steps. For in-office whitening, the dentist will begin by isolating your teeth, protecting your gums with a barrier, and applying a high-concentration bleaching gel. The gel is then usually activated with a special light or laser to accelerate the whitening process. This process may be repeated several times during the appointment. For at-home whitening, the process involves applying a bleaching agent to custom-fitted trays and wearing them for a specified period each day or night. The duration of use and the concentration of the bleaching agent will depend on the specific product and your dentist’s instructions. Regardless of the chosen method, it’s crucial to follow the dentist’s instructions carefully to achieve the best results and minimize potential side effects. This includes proper application techniques, adhering to the recommended duration, and avoiding foods and drinks that can stain your teeth during the treatment.
Caring for Your Teeth After Whitening

After undergoing tooth whitening, proper care is essential to maintain your brighter smile and minimize potential side effects. One of the most important things to do is to avoid or limit the consumption of foods and drinks that can stain your teeth, such as coffee, tea, red wine, and heavily pigmented sauces. Smoking and tobacco use should also be avoided, as they can cause significant discoloration. Following a good oral hygiene routine, including brushing your teeth twice a day with a whitening toothpaste and flossing daily, is crucial to remove surface stains and plaque. Your dentist might also recommend using a fluoride toothpaste to help strengthen your enamel and reduce sensitivity. Regular dental check-ups and professional cleanings are essential to remove any stubborn stains and maintain the results of your whitening treatment. Proper care extends the longevity of your whiter smile, ensuring you enjoy its benefits for a longer period.
Maintaining Your Bright Smile
Maintaining a bright smile after tooth whitening requires a proactive approach and a commitment to consistent oral hygiene. First and foremost, avoid or minimize your intake of staining foods and beverages. This includes coffee, tea, red wine, and dark-colored sauces, all known to darken teeth over time. If you consume these items, rinse your mouth with water immediately afterward or brush your teeth to minimize their impact. Continue with your regular oral hygiene routine, which includes brushing twice a day with a whitening toothpaste and flossing daily. This helps remove surface stains and prevents plaque buildup. Consider using a whitening mouthwash to further enhance and maintain your results. Regular dental check-ups and professional cleanings are also crucial to monitor your oral health, remove any stubborn stains, and provide advice. In addition, you may choose to use touch-up treatments at home, as recommended by your dentist. This comprehensive approach to aftercare will help you enjoy your brighter smile for an extended period.
Tips for Long-Lasting Results
Achieving long-lasting results after tooth whitening requires careful attention to detail and following several key recommendations. Firstly, adhere to a strict oral hygiene routine that involves regular brushing and flossing. Brushing your teeth at least twice a day and flossing once a day can help maintain the whiteness achieved through the procedure. Regularly visit your dentist for check-ups and professional cleanings. Professional cleaning can remove surface stains and plaque that can dull your smile. Furthermore, you should limit or avoid the consumption of stain-causing foods and beverages such as coffee, tea, red wine, and dark sauces. If you do consume them, rinse your mouth with water immediately afterward, or brush your teeth. Finally, consider using a whitening toothpaste and mouthwash to support your efforts and maintain the brightness of your smile. Consistently following these steps will maximize the longevity of your results and keep your teeth looking their best.
