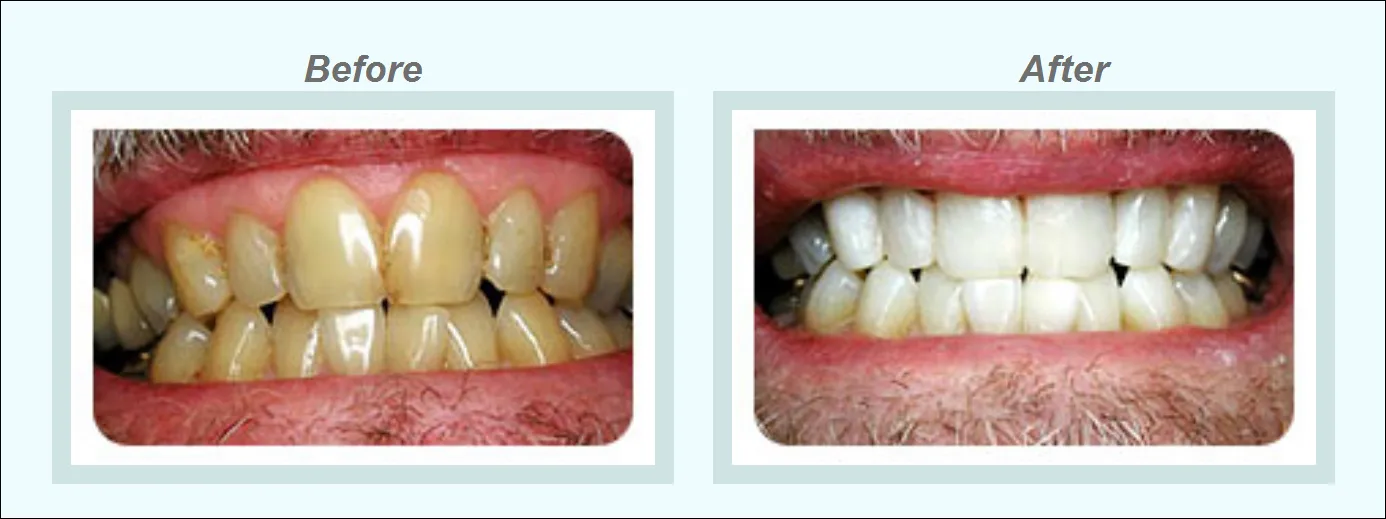
Understanding Teeth Whitening Sessions
Teeth whitening has become a popular cosmetic dental procedure, offering a path to a brighter, more confident smile. The process involves lightening the shade of your teeth, often through the use of bleaching agents that break down stains and discoloration. But how many sessions are truly needed to achieve that dazzling, pearly white appearance? The answer is not always straightforward, as it hinges on a variety of factors including the type of whitening treatment chosen, the severity of the staining, and individual lifestyle habits. A single session might be sufficient for some, while others may require multiple visits to reach their desired level of brightness. Understanding the nuances of teeth whitening sessions is essential for setting realistic expectations and achieving the best possible results. This guide will explore the key aspects of teeth whitening sessions, offering insights into what to expect and how to optimize your journey to a brighter smile.
Factors Influencing Teeth Whitening Sessions
Several key factors influence the number of teeth whitening sessions required. The degree of staining is a primary determinant. Surface stains caused by coffee, tea, red wine, or tobacco may be removed relatively quickly, potentially with just one or two sessions. However, deeper stains, such as those from aging, genetics, or certain medications like tetracycline, may require several sessions to achieve noticeable results. The type of treatment also plays a significant role. Professional in-office treatments often yield faster results due to the higher concentrations of bleaching agents used, potentially requiring fewer sessions compared to at-home methods. Individual tooth enamel properties, such as porosity and thickness, can affect how readily the teeth respond to the whitening agents. Furthermore, lifestyle choices, including dietary habits and smoking, can influence both the effectiveness and longevity of the whitening results. People who consume staining foods and beverages frequently or smoke may require more frequent touch-up sessions to maintain their desired level of whiteness.
Type of Whitening Treatments and Sessions

The type of teeth whitening treatment significantly impacts the number of sessions. Broadly, treatments fall into two categories in-office and at-home methods. In-office whitening, performed by a dentist, typically involves a higher concentration of hydrogen peroxide or carbamide peroxide. The dentist applies the whitening agent directly to the teeth and may use a special light or laser to accelerate the process. These treatments often provide dramatic results in a single session, lasting about an hour. At-home whitening treatments, on the other hand, include over-the-counter products like whitening strips, toothpastes, and trays. These contain lower concentrations of bleaching agents and require consistent use over several weeks to achieve noticeable results. Custom-fitted trays, provided by a dentist, offer a more effective at-home option as they ensure better contact between the whitening agent and the teeth. The choice between these options depends on individual preferences, budget, and the severity of staining. Considering the differences in treatment types is essential when estimating the number of sessions needed.
In-Office Teeth Whitening Sessions
In-office teeth whitening offers the advantage of immediate, dramatic results. The procedure typically involves a thorough cleaning of the teeth to remove any plaque or debris, followed by the application of a high-concentration whitening gel. A special light or laser is often used to activate the bleaching agent, enhancing its effectiveness. The treatment usually takes about an hour, and patients can often see a significant improvement in the shade of their teeth after a single session. Depending on the severity of the staining and the desired level of whiteness, some individuals may require additional sessions. These follow-up sessions are usually spaced a few weeks apart to allow the enamel to rest and prevent over-bleaching. During the consultation, the dentist will assess the patient’s teeth and determine the number of sessions needed to achieve the optimal results. The convenience and effectiveness of in-office whitening make it a popular choice for those seeking rapid teeth whitening.
At-Home Teeth Whitening Sessions
At-home teeth whitening provides a convenient and cost-effective alternative to in-office treatments. Over-the-counter options include whitening strips, toothpastes, and trays. Whitening strips are easy to use, applying directly to the teeth for a set period daily. Whitening toothpastes contain mild abrasives and chemicals that help remove surface stains. Custom-fitted trays, prescribed by a dentist, are a more effective at-home option, as they ensure better contact between the whitening agent and the teeth. These trays are filled with a bleaching gel and worn for a specified amount of time each day. The number of sessions required for at-home whitening varies depending on the product and the severity of the staining. Whitening strips and toothpastes may take several weeks to show visible results, while dentist-prescribed trays can offer more noticeable whitening in a shorter time. Consistency is key with at-home treatments. Following the instructions carefully and being patient will maximize the effectiveness of the whitening process.
Average Number of Teeth Whitening Sessions

The average number of teeth whitening sessions can vary widely depending on the treatment type and individual factors. For in-office whitening, many patients achieve their desired results within a single session. However, for more severe staining or if a more dramatic improvement is desired, two or three sessions might be recommended, spaced a few weeks apart. At-home whitening treatments typically require more sessions. Over-the-counter products like whitening strips or toothpastes can take several weeks or even months of consistent use to produce noticeable results. Custom-fitted trays, prescribed by a dentist, may provide faster results, often showing improvements within a few weeks. On average, patients using at-home trays may require a treatment duration of several weeks to a couple of months, depending on the concentration of the bleaching agent and the frequency of use. Ultimately, the specific number of sessions depends on the individual’s unique circumstances and goals, making a consultation with a dentist essential for accurate assessment and personalized recommendations.
Maintaining Your White Smile After Sessions
Maintaining your newly whitened smile requires ongoing care and attention. Regularly practicing good oral hygiene is paramount, brushing your teeth twice a day and flossing daily. This helps remove surface stains and prevent new ones from forming. Avoiding or limiting the consumption of staining foods and beverages, such as coffee, tea, red wine, and dark-colored berries, is also crucial. If you do consume these items, rinsing your mouth with water immediately afterward can help minimize staining. Regular dental check-ups and cleanings are essential for maintaining your white smile. During these visits, the dentist can remove any new stains and provide professional advice. In some cases, touch-up whitening treatments may be needed to maintain the desired level of brightness. The frequency of these touch-ups depends on individual habits and the longevity of the initial whitening treatment. By following these maintenance tips, you can enjoy a bright and healthy smile for a long time.
Potential Side Effects of Teeth Whitening Sessions
While teeth whitening is generally safe, it can have potential side effects. The most common side effect is tooth sensitivity, which can range from mild to moderate and usually subsides within a few days of the treatment. Some individuals may experience gum irritation or inflammation, particularly if the whitening agent comes into contact with the gums. This usually resolves quickly after the treatment. In rare cases, individuals may experience more severe side effects, such as nerve pain or allergic reactions. It’s essential to consult with a dentist before undergoing teeth whitening to assess your oral health and determine if the treatment is suitable. The dentist can also provide guidance on how to minimize potential side effects, such as using desensitizing toothpaste or adjusting the concentration of the whitening agent. Following the dentist’s instructions carefully and reporting any unusual symptoms promptly is crucial for a safe and successful whitening experience.
Consulting a Dentist About Teeth Whitening Sessions

Consulting with a dentist is a crucial step before starting any teeth whitening treatment. The dentist will assess your oral health, including your teeth and gums, to determine if you’re a suitable candidate for teeth whitening. They will also evaluate the cause and severity of any staining, which helps determine the appropriate type of treatment and the expected number of sessions. The dentist can discuss the various whitening options available, including in-office and at-home treatments, and explain the pros and cons of each. They can provide professional recommendations based on your specific needs and goals. The dentist can also address any concerns or questions you may have about the procedure, including potential side effects and maintenance tips. By consulting with a dentist, you can ensure a safe, effective, and personalized teeth whitening experience that achieves the best possible results while maintaining your overall oral health.
