Understanding Teeth Whitening in France
The pursuit of a brighter, whiter smile is a common goal, and in France, teeth whitening has become increasingly popular. Whether it’s for cosmetic enhancement or to boost self-confidence, understanding the landscape of teeth whitening in France is essential. This comprehensive guide will explore the various options available, from professional treatments to over-the-counter products, helping you navigate the choices and achieve the radiant smile you desire. The French, known for their emphasis on appearance and well-being, have embraced teeth whitening as part of their beauty and health routines. This article provides a detailed look at the procedures, considerations, and aftercare necessary for successful teeth whitening in France.
The Popularity of Teeth Whitening in France
Teeth whitening in France has seen a surge in popularity in recent years, driven by a combination of factors. Increased awareness of cosmetic dentistry, coupled with media influence and social trends, has led more people to seek professional teeth whitening solutions. The desire for a perfect smile is not only about aesthetics; it also contributes to a sense of well-being and self-assurance. The accessibility of both professional and over-the-counter whitening options has also made it easier for individuals to explore and undergo these treatments. As a result, teeth whitening has become a mainstream practice in France, reflecting a broader trend toward prioritizing dental health and appearance.
Cultural Attitudes Towards Dental Aesthetics

French culture places a high value on personal appearance and overall grooming, making dental aesthetics a significant aspect of this cultural emphasis. A bright and healthy smile is often seen as an essential element of a polished and attractive appearance. This cultural appreciation contributes to the popularity of teeth whitening, as it provides a quick and effective way to enhance one’s smile and boost self-esteem. Furthermore, the French are known for their attention to detail and commitment to quality, which extends to their healthcare choices, including dental treatments. Therefore, the demand for professional and reliable teeth whitening services is consistently high in France.
Different Types of Teeth Whitening Treatments
In France, a variety of teeth whitening treatments are available, catering to different needs, budgets, and preferences. These options range from professional in-office procedures performed by dentists to take-home kits and over-the-counter products. Understanding the differences between these methods is crucial for making an informed decision and achieving the best possible results. Each approach offers unique advantages and considerations. This section will provide a comprehensive overview of the various teeth whitening treatments accessible in France, helping you choose the most appropriate solution for your specific needs.
Professional Teeth Whitening Options in France
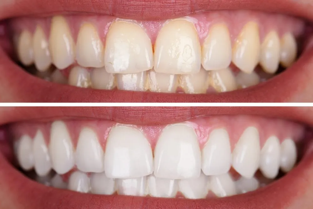
Professional teeth whitening in France offers the most effective and controlled results, typically performed by a qualified dentist. These treatments often involve higher concentrations of bleaching agents and are administered under supervision to minimize the risk of side effects. Professional whitening is ideal for those seeking dramatic improvements in tooth color or who have more severe staining. It also provides the advantage of expert assessment and personalized treatment plans. Dentists can evaluate the patient’s dental health, address any pre-existing conditions, and ensure the whitening process is safe and effective.
In-Office Teeth Whitening Procedures

In-office teeth whitening procedures, often referred to as chairside whitening, are conducted in a dental clinic and offer the fastest and most significant results. A high-concentration bleaching gel is applied to the teeth, and a special light or laser may be used to accelerate the whitening process. This method typically achieves several shades of improvement in a single session. The entire procedure, including preparation and treatment, usually takes about an hour. In-office whitening provides the highest level of control and precision, minimizing the risk of gum irritation and ensuring an even application. Patients benefit from immediate results and expert supervision throughout the process.
Take-Home Teeth Whitening Kits from Dentists
Take-home teeth whitening kits prescribed by a dentist offer a balance between professional care and convenience. These kits include custom-fitted trays designed to fit the patient’s teeth perfectly, ensuring even coverage and reducing the likelihood of the bleaching gel coming into contact with the gums. The dentist provides a bleaching gel with a moderate concentration, along with detailed instructions on how to use the kit safely and effectively at home. Patients wear the trays for a specific period each day or night, as directed by their dentist. This method allows for gradual whitening over several weeks and is ideal for those who prefer a more flexible treatment schedule.
Over-the-Counter Teeth Whitening Products in France
Over-the-counter (OTC) teeth whitening products are readily available in pharmacies and supermarkets throughout France. These products offer a more affordable and accessible option for teeth whitening, but they may provide less dramatic results compared to professional treatments. OTC products generally contain lower concentrations of bleaching agents and are designed for ease of use. While they can be effective for mild staining, it’s crucial to use them as directed and to be aware of potential side effects. It’s always a good idea to consult a dentist before using any OTC product to ensure it is suitable for your dental health.
Whitening Toothpastes

Whitening toothpastes are a popular choice for maintaining a brighter smile. They typically contain mild abrasive agents and chemical ingredients that help to remove surface stains and polish the teeth. These toothpastes can improve the overall brightness of your teeth and are a good option for daily use. However, they generally do not change the natural color of the teeth. The effectiveness of whitening toothpastes varies depending on the ingredients and the type of stains. Regular use can help maintain the results of professional whitening treatments or improve the appearance of teeth with minor staining. Make sure to choose a toothpaste with fluoride to maintain healthy teeth.
Whitening Strips
Whitening strips are another readily available OTC option in France. These thin, flexible strips are coated with a bleaching agent and are applied directly to the teeth. The active ingredient in these strips is usually hydrogen peroxide or carbamide peroxide, which helps to lighten the enamel. Whitening strips are easy to use and can provide noticeable results within a few weeks. However, they might not be suitable for all teeth, especially those with extensive fillings or crowns. It’s essential to follow the instructions carefully and to be aware of potential side effects, such as tooth sensitivity. Whitening strips provide a cost-effective way to whiten your teeth.
Things to Consider Before Teeth Whitening
Before undergoing teeth whitening in France, several factors need careful consideration. Assessing your dental health, understanding the nature of stains, and consulting with a dentist are critical steps in ensuring a safe and effective treatment. These considerations help to minimize potential risks and optimize the outcome of the whitening procedure. Thorough preparation is key to achieving the desired results and maintaining a healthy smile. Consulting with a dental professional ensures your teeth and gums are healthy enough for the procedure.
Assessing Your Dental Health

A comprehensive dental examination is essential before teeth whitening. The dentist will check for cavities, gum disease, and other dental issues that need addressing before the whitening process begins. Teeth whitening is most effective on healthy teeth, and existing problems should be resolved first. This assessment might include X-rays to identify hidden issues. It’s crucial to have any dental work, such as fillings or crowns, completed before whitening, as these restorations won’t lighten. The dentist will also evaluate the overall condition of your teeth and gums and determine whether you are a good candidate for the treatment.
Identifying Stains and Discoloration
Different types of stains and discoloration respond differently to teeth whitening treatments. Extrinsic stains, which are on the surface of the teeth, often caused by coffee, tea, and tobacco, are usually easier to remove. Intrinsic stains, which are deeper within the tooth structure, may require more aggressive whitening methods or multiple sessions. Understanding the cause of your stains helps determine the most effective treatment approach. Your dentist will assess the type and severity of stains to provide a personalized whitening plan. Factors like age, diet, and oral hygiene habits can influence the type and extent of staining, guiding the choice of appropriate whitening methods.
Consultation with a Dentist in France
A consultation with a dentist is the most important step before any teeth whitening treatment in France. The dentist will discuss your goals, evaluate your dental health, and recommend the most suitable whitening options. They can explain the benefits, risks, and expected outcomes of each treatment. During the consultation, the dentist will also address any concerns or questions you have. It is also an opportunity to discuss your medical history and any medications you are taking. Consulting a dentist ensures that you receive a personalized treatment plan that is both safe and effective for achieving a brighter, whiter smile.
Maintenance and Aftercare for Teeth Whitening

Maintaining the results of teeth whitening requires careful aftercare and lifestyle adjustments. Following the dentist’s instructions, managing potential sensitivity, and making informed dietary and oral hygiene choices are essential. Proper aftercare will help prolong the effects of the whitening treatment and keep your smile looking its best. A combination of diligent practices and mindful habits will contribute to long-lasting, beautiful results. Being proactive in the aftercare phase ensures that your investment in teeth whitening yields sustained benefits.
Post-Whitening Sensitivity Management
Tooth sensitivity is a common side effect of teeth whitening, but it is usually temporary. Several measures can help manage and minimize discomfort. Using a toothpaste designed for sensitive teeth can significantly reduce sensitivity. Avoiding extremely hot or cold foods and beverages also helps. If sensitivity persists, your dentist may recommend fluoride treatments or desensitizing agents. Following the dentist’s aftercare instructions can also alleviate discomfort. If you experience sensitivity, consult your dentist to ensure proper management and care.
Lifestyle Adjustments to Maintain Results
To maintain the results of teeth whitening, certain lifestyle adjustments are necessary. These include dietary modifications and improved oral hygiene practices. Being mindful of what you eat and drink, as well as adopting good dental habits, helps prevent new stains and discoloration. Consistent efforts will ensure your smile remains bright and healthy for an extended period. Making some small changes in your routine can make a big difference in maintaining your newly whitened teeth.
Dietary Considerations

Certain foods and beverages can stain teeth, and limiting their consumption helps maintain the results of whitening. Common culprits include coffee, tea, red wine, dark-colored sodas, and foods with strong pigments, such as berries. Rinsing your mouth with water after consuming these items can help reduce staining. Consider using a straw when drinking staining beverages. Incorporating a diet rich in calcium and vitamin D can support dental health. A well-balanced diet contributes to overall oral health and helps maintain a brighter smile.
Oral Hygiene Practices
Maintaining good oral hygiene is crucial for preserving the results of teeth whitening. Brushing your teeth twice a day with a fluoride toothpaste helps remove surface stains and plaque. Flossing daily removes food particles and plaque from between the teeth, preventing further staining. Regular dental check-ups and professional cleanings every six months are also important. Using a mouthwash can further enhance your oral hygiene routine. Proper oral hygiene practices will help to keep your teeth healthy and your smile bright.
Conclusion
Teeth whitening in France offers a range of options to achieve a brighter, more confident smile. From professional treatments to over-the-counter products, understanding the available choices, considering dental health, and following proper aftercare practices are crucial steps in this process. By making informed decisions and maintaining a commitment to oral health, you can enjoy a dazzling smile for years to come. Remember, consulting with a dentist is essential for a safe and effective teeth whitening experience. Embracing these guidelines will set you on the path to a radiant, French-inspired smile.
