Understanding Teeth Whitening for Crowns
Teeth whitening is a popular cosmetic procedure, but when you have dental crowns, the process requires a bit more consideration. Crowns, unlike natural teeth, are not porous and do not respond to traditional teeth whitening treatments in the same way. Understanding this fundamental difference is crucial to achieving the desired results and maintaining a bright, healthy smile. This article will guide you through the specifics of teeth whitening when crowns are involved, providing actionable tips and insights to help you make informed decisions and achieve optimal outcomes. Considering the nuances of dental crowns and how they interact with various whitening methods will enable you to choose the most effective and safe approach, ensuring a dazzling smile.
What are Dental Crowns?
Dental crowns are essentially caps that are placed over a tooth to restore its shape, size, strength, or improve its appearance. They are often necessary when a tooth is significantly damaged, decayed, or has undergone a root canal. Crowns can be made from a variety of materials, including porcelain, ceramic, metal alloys, and zirconia. The choice of material depends on factors such as the location of the tooth, the patient’s aesthetic preferences, and the functional requirements. Dental crowns serve a vital role in protecting and preserving the natural teeth, and are a common and effective restorative solution in modern dentistry.
Types of Crowns

Several types of crowns exist, each with unique properties and applications. Porcelain crowns are known for their natural appearance, closely mimicking the translucence of natural teeth, making them ideal for front teeth. Ceramic crowns offer similar aesthetic benefits, often used for their biocompatibility. Metal alloy crowns, such as gold or other durable metals, are extremely strong and are frequently used for molars where strength is paramount. Zirconia crowns, a newer option, combine the strength of metal with the aesthetics of porcelain, offering an excellent balance of durability and appearance. The selection of the most suitable crown material depends on a variety of factors, including the tooth’s location, the patient’s aesthetic desires, and functional considerations.
How Crowns Differ from Natural Teeth
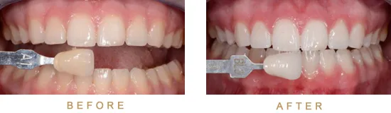
One of the most important things to understand is how crowns differ from natural teeth. Natural teeth have a porous structure, allowing them to absorb whitening agents, which is why they can be whitened. However, crowns, especially those made of porcelain or ceramic, do not have this porous structure. This means that traditional teeth whitening treatments, such as bleaching with peroxide-based products, will not alter the color of the crown. The color of a crown is fixed at the time of its creation. This difference underscores the importance of understanding the limitations and exploring alternative solutions when considering teeth whitening with crowns. It is critical to realize that the aim is to match the color of the crowns with the newly whitened natural teeth.
Key Tip 1 Choose the Right Whitening Method
Choosing the correct whitening method is the most crucial step. Since crowns do not whiten, the goal is to whiten the surrounding natural teeth to match the color of the crowns. This may involve professional whitening treatments, or a combination of professional and at-home methods, under the guidance of a dentist. The dentist will assess the condition of your teeth, determine the appropriate shade, and discuss the best approach. If your crowns are significantly different in shade from your natural teeth, replacing them might be the best solution. Otherwise, focus on whitening your natural teeth safely and effectively. Make sure you understand what can be achieved and set your expectations right.
Professional Whitening Options

Professional teeth whitening offers several advantages, including higher concentrations of bleaching agents and the ability to monitor the results. Dentists can use a variety of methods, such as in-office bleaching treatments, which provide immediate results. These treatments typically involve applying a concentrated hydrogen peroxide solution to the teeth and using a special light or laser to accelerate the whitening process. Another option is custom-fitted whitening trays. These trays are made to fit your teeth perfectly, allowing you to apply a whitening gel at home under professional supervision. Regular check-ups allow your dentist to evaluate your progress and address any concerns. Professional whitening can provide dramatic results quickly and safely when done by a trained dentist.
At-Home Whitening Kits
At-home whitening kits can be a more affordable option, but they must be used with caution when crowns are present. These kits usually contain lower concentrations of bleaching agents than professional treatments. They often come with whitening strips, trays, or toothpastes. While they can effectively whiten natural teeth, they will not change the color of your crowns. Before using at-home kits, it is crucial to consult your dentist, who can recommend products that are safe for your specific situation. Overuse of these products can lead to sensitivity or other issues. Always follow the instructions carefully and monitor your progress to ensure you are achieving the desired results without harming your teeth or gums.
Tip 2 Consider Crown Material
The material of your crown is an important consideration. Porcelain and ceramic crowns are more common and generally have excellent aesthetic qualities. Zirconia crowns are also popular for their strength and appearance. Metal crowns, such as those made of gold alloys, do not stain or discolor. The type of material will impact the appearance and long-term care of the crown. Knowing the crown material will assist you in setting your expectations and choosing appropriate whitening treatments. Crowns made from certain materials may have different light-reflecting properties, influencing how they appear in relation to your natural teeth.
Porcelain Crowns

Porcelain crowns are favored for their ability to mimic the appearance of natural teeth. However, like natural teeth, they can be susceptible to staining over time, especially from highly pigmented foods and drinks. While traditional whitening methods won’t change the color of the porcelain itself, maintaining the surrounding natural teeth will help achieve a consistent look. Good oral hygiene, including regular brushing, flossing, and dental check-ups, is crucial for preserving the aesthetics of porcelain crowns and preventing discoloration of the surrounding teeth. Consider discussing professional cleaning and polishing with your dentist to maintain a bright smile.
Zirconia Crowns
Zirconia crowns offer a combination of strength and aesthetics, providing a durable and natural-looking restoration. Zirconia is highly resistant to staining. However, the surrounding natural teeth can still benefit from whitening treatments to match their color. Professional teeth whitening methods are recommended to ensure safe and effective results. Consult with your dentist to find the best whitening strategy that considers your overall oral health and desired aesthetic outcome. Proper care, including routine dental visits, ensures the longevity and appearance of your zirconia crowns, maintaining a beautiful, consistent smile.
Tip 3 Manage Expectations
It is very important to manage expectations. Teeth whitening will not change the color of your crowns. Therefore, the objective is to make the natural teeth as white as possible, to match the shade of the crown or crowns. Communicate with your dentist to achieve the desired results. Consider all the available options and be realistic about the outcomes. If the shade difference is too significant, you may need to consider replacing the crowns to achieve your desired look. Always prioritize your overall oral health and long-term dental well-being.
Realistic Whitening Results

Understand that the color of your crowns will remain constant, so the ultimate goal is to whiten the surrounding teeth to match their appearance. This can be achieved through professional treatments or a combination of professional and at-home methods. The effectiveness of whitening treatments can vary depending on the individual and the type of stain. It is essential to discuss your expectations with your dentist and understand the potential results before undergoing any whitening procedures. Patience is essential, as it may take several sessions to achieve the desired shade, but the final result can make your smile more beautiful.
Maintaining Crown Appearance
While crowns do not whiten, you can maintain their appearance by practicing good oral hygiene and avoiding habits that can cause staining of the surrounding natural teeth. Regular brushing and flossing remove plaque and food particles that can contribute to staining. Limit your consumption of staining foods and drinks, such as coffee, tea, red wine, and berries. Regular dental check-ups and professional cleanings are important for maintaining the health and appearance of your teeth and crowns. Following these tips will help ensure your crowns blend seamlessly with your naturally whitened teeth, contributing to a radiant smile.
Tip 4 Consult Your Dentist
Consulting your dentist is essential. They can assess your overall oral health and advise you on the best course of action. Dentists can offer insights into the specific type of crowns you have, their condition, and the best way to achieve your desired results. A professional evaluation will help you avoid potential problems and ensure the safety and effectiveness of any whitening treatment. Your dentist can explain the potential outcomes, the treatment options, and any risks associated with whitening procedures when crowns are present. Their expert advice will guarantee the best possible outcome for your smile.
Professional Advice on Whitening

Your dentist can offer tailored advice based on your specific needs and dental history. They can recommend the most appropriate whitening method. They can also monitor your progress and address any concerns. Regular dental check-ups allow your dentist to identify any potential issues and maintain the health and appearance of your teeth. This professional guidance is crucial for achieving the best possible results and maintaining a bright, healthy smile. Professional advice ensures safe and effective teeth whitening while managing crowns and maintaining good oral health.
Crown Inspection and Cleaning
During your dental visit, your dentist will inspect your crowns to make sure they are in good condition. They will check for any signs of damage or wear. The cleaning will remove any surface stains. Your dentist may also recommend a professional cleaning and polishing to maintain your crowns’ appearance. They can also educate you about appropriate oral hygiene practices to keep your crowns in great condition. A clean and healthy mouth will make your smile look its best and ensure the longevity of your crowns.
Tip 5 Post-Whitening Care
Post-whitening care is vital for maintaining your results and overall oral health. This includes maintaining good oral hygiene practices, avoiding staining foods and drinks, and attending regular dental check-ups. Careful maintenance is important to prevent your natural teeth from re-staining and to maintain the overall appearance of your smile. Adhering to these post-whitening care tips can help prolong the effects of the treatment, and preserve the brightness and health of your teeth.
Oral Hygiene

Proper oral hygiene is fundamental to maintaining a bright smile and healthy gums. Brush your teeth at least twice a day using fluoride toothpaste. Floss daily to remove plaque and food particles from between your teeth. Consider using an antibacterial mouthwash to further reduce bacteria in your mouth. Regular dental check-ups and professional cleanings will help remove plaque and tartar, maintaining the health and appearance of your teeth and crowns. Implementing these habits ensures your smile remains bright and your teeth healthy, contributing to a confident, radiant look.
Avoiding Staining Foods
Certain foods and drinks can stain your teeth, impacting the overall appearance of your smile, especially after whitening. Limit consumption of dark-colored beverages, such as coffee, tea, and red wine. Avoid or reduce the intake of staining foods, such as berries, soy sauce, and curries. If you consume these items, rinse your mouth with water afterward or brush your teeth to remove any residues. Avoiding staining foods helps preserve the brightness of your natural teeth, which are the focus of the teeth whitening treatment. By being mindful of your diet, you can help prolong the effects of your whitening treatment and maintain a beautiful, healthy smile.
