Teeth Whitening and Caps Top Facts
Teeth whitening and dental caps are common cosmetic procedures, but understanding their interaction is crucial for achieving a bright, aesthetically pleasing smile. This guide delves into the top facts about teeth whitening, especially concerning individuals with dental caps. The primary aim is to provide a comprehensive overview, addressing key considerations, treatment options, and aftercare practices to help you make informed decisions regarding your dental health and cosmetic goals. It is essential to be aware of the limitations and possibilities when combining these two treatments, ensuring that you achieve the best possible results while preserving the integrity of your dental work.
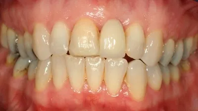
The Impact of Caps on Whitening
Dental caps, also known as crowns, are designed to restore the shape, size, and strength of a damaged tooth or to improve its appearance. The material of the caps significantly influences the whitening process. Unlike natural teeth, which respond to whitening treatments, caps, especially those made from porcelain or ceramic, do not whiten in the same way. The materials used in caps are designed to be stain-resistant, but this also means that they are generally impervious to the bleaching agents used in teeth whitening products. This difference necessitates a careful approach when considering teeth whitening if you have dental caps, as the natural teeth will whiten while the caps remain unchanged, potentially creating a color mismatch.
Types of Dental Caps and Their Properties

Various types of dental caps are available, each with its own properties regarding aesthetics and whitening. Porcelain caps are a popular choice due to their natural appearance, mimicking the translucency of natural teeth. Ceramic caps offer similar aesthetic benefits and can be highly effective in blending with surrounding teeth. Composite resin caps are another option, often used for their affordability, though they may be more prone to staining compared to porcelain or ceramic. The properties of these materials, such as their porosity and ability to absorb stains, determine how they interact with teeth whitening treatments. Understanding these differences is key to planning your whitening strategy.
Porcelain Veneers and Their Whitening Response
Porcelain veneers, thin shells bonded to the front of teeth to improve their appearance, are a common cosmetic option. Like porcelain caps, veneers are stain-resistant but do not whiten with standard bleaching agents. This means that teeth whitening treatments will only affect the natural teeth, potentially creating a noticeable color difference between the veneers and the newly whitened teeth. Before undergoing teeth whitening, it’s crucial to discuss your options with your dentist. In some cases, replacing the veneers to match the new shade of your natural teeth might be the best approach to achieve a consistent, brighter smile. Proper planning and consultation with a dental professional are critical to avoid undesirable aesthetic outcomes.
How Teeth Whitening Works on Natural Teeth
Teeth whitening works by using bleaching agents, such as hydrogen peroxide or carbamide peroxide, to penetrate the enamel and dentin of natural teeth. These agents break down the stain molecules that have accumulated over time from food, drinks, and tobacco use. The effectiveness of teeth whitening depends on various factors, including the concentration of the bleaching agent, the duration of treatment, and the individual’s teeth structure. Professional teeth whitening treatments, performed by a dentist, typically use higher concentrations of bleaching agents and can provide more dramatic and quicker results compared to over-the-counter products. It’s a chemical process that effectively lightens the color of the tooth, restoring its natural brightness, but it doesn’t work on artificial dental materials like caps and veneers.
Chemical Reactions in Whitening

The chemical reaction in teeth whitening involves the oxidation of stain molecules. The peroxide agents release oxygen radicals that break down these molecules into smaller, less visible components. This process does not damage the tooth structure but rather alters the way light reflects off the enamel. The effectiveness of this process can be influenced by the type of stains present, with some stains responding better than others. Surface stains, caused by food and drinks, are generally easier to remove than intrinsic stains, which are deeper within the tooth structure. Understanding the chemical reactions involved provides insight into why natural teeth whiten and why caps remain unaffected by these treatments.
Best Whitening Products
Various teeth whitening products are available, including whitening toothpastes, over-the-counter strips, and professional treatments. Whitening toothpastes contain mild abrasives and bleaching agents that can help remove surface stains. Over-the-counter whitening strips are easy to use and provide noticeable results over several weeks. Professional treatments, administered by a dentist, use higher concentrations of bleaching agents and can provide significantly faster and more dramatic results. The best product for you depends on your individual needs, the presence of dental caps, and your desired outcome. Consulting with your dentist can help you choose the most appropriate and effective whitening option for your situation. The choice should always consider the safety and compatibility with any existing dental work.
Whitening Toothpastes & Professional Treatments
Whitening toothpastes can help remove surface stains and maintain the brightness of your natural teeth. These products contain mild abrasives and low concentrations of bleaching agents. Professional treatments offer the most effective and quickest results. Dentists use higher concentrations of bleaching agents, often combined with special lights or lasers to accelerate the whitening process. Professional treatments can lighten your teeth several shades in a single session. However, it’s important to understand that these treatments will not affect the color of your dental caps. Therefore, discussing your whitening goals with your dentist is essential to ensure that the final result meets your expectations, especially if you have dental caps or plan to get them in the future.
Is Whitening Safe for Caps?

Teeth whitening treatments are generally safe for natural teeth, but they will not whiten dental caps. Whitening products can be used if you have caps, but the caps will remain the same color. The primary concern with using whitening products with caps is that the natural teeth will become whiter while the caps stay the same, leading to a mismatch in color. Therefore, it’s crucial to inform your dentist about any dental caps you have before starting a whitening treatment. They can advise you on the best approach to achieve a consistent, aesthetically pleasing result, which might involve replacing the caps to match the new shade of your natural teeth. Always follow your dentist’s recommendations to ensure the safety and effectiveness of the whitening process.
Potential Risks and Side Effects
Teeth whitening can cause some potential side effects, such as temporary tooth sensitivity and gum irritation. Tooth sensitivity is a common side effect, caused by the bleaching agents affecting the nerves in your teeth. Gum irritation can occur if the whitening product comes into contact with your gums. These side effects are usually temporary and subside shortly after the treatment is completed. In rare cases, excessive or improper use of whitening products can lead to more severe issues. Always follow the instructions provided by your dentist or the product manufacturer. If you experience significant pain or discomfort, discontinue the treatment and consult your dentist. Understanding these potential risks helps in making informed decisions about teeth whitening.
Alternatives to Whitening Caps
If you have dental caps and desire a brighter smile, several alternatives can address the color discrepancy. One option is to replace the existing caps with new ones that match the whitened shade of your natural teeth. This approach ensures a uniform color throughout your smile. Another option involves using veneers on your natural teeth. Veneers can be custom-made to match the desired shade and can cover the entire visible surface of your teeth. Another option is to explore professional teeth cleaning and stain removal to improve the overall appearance of your teeth. The best alternative depends on your specific needs, the condition of your existing caps, and your aesthetic goals. Consult with your dentist to determine the most appropriate solution for your situation, taking into account your budget and desired results.
Maintaining Whitened Teeth with Caps

Maintaining the brightness of your whitened teeth and preserving the aesthetics of your dental caps involves a combination of good oral hygiene and regular dental check-ups. Brush your teeth twice a day with a non-abrasive toothpaste and floss daily to remove plaque and food particles that can cause staining. Avoid or limit your intake of stain-causing foods and drinks, such as coffee, tea, red wine, and berries. Regular dental cleanings and check-ups are crucial to remove any surface stains and monitor the condition of your teeth and caps. Your dentist can also provide professional advice and treatments to help maintain your bright smile. By following these recommendations, you can maximize the longevity of your teeth whitening results and keep your smile looking its best.
Aftercare for Whitening & Caps
Following the aftercare instructions provided by your dentist is crucial to protect your whitened teeth and maintain the appearance of your caps. Avoid consuming stain-causing foods and drinks immediately after the whitening treatment, as your teeth are more susceptible to staining during this period. Use a desensitizing toothpaste if you experience tooth sensitivity. Continue with your regular oral hygiene routine, including brushing, flossing, and rinsing with an antiseptic mouthwash. Schedule regular dental check-ups and cleanings to monitor the condition of your teeth and caps. Your dentist might also recommend touch-up whitening treatments to maintain your desired shade over time. Proper aftercare ensures that you enjoy the benefits of your teeth whitening treatment and keeps your smile looking its best, particularly when you have dental caps or veneers.
