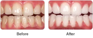
A bright, white smile can dramatically boost your confidence and overall appearance. Opalescence Boost Whitening is a popular professional teeth whitening treatment designed to deliver noticeable results in a single dental visit. Unlike over-the-counter whitening products, Opalescence Boost offers a potent formula and is administered by trained dental professionals, ensuring both effectiveness and safety. This article will delve into the details of Opalescence Boost Whitening, exploring its benefits, the procedure, and what you can expect to achieve a dazzling, brighter smile.
What is Opalescence Boost Whitening
Opalescence Boost Whitening is a professional, in-office teeth whitening treatment. It utilizes a high-concentration hydrogen peroxide gel activated by a chemical process. The treatment is performed by a dentist or a trained dental professional, ensuring the safety of your gums and soft tissues during the procedure. The process is designed to break down stain molecules within the enamel of your teeth, resulting in a significantly whiter smile in a relatively short amount of time. Because of its strength, it delivers dramatic results when compared to the more subtle changes from at-home whitening kits. It is a convenient and effective way to address discoloration caused by various factors, including age, diet, and lifestyle choices.
The Science Behind Opalescence Boost Whitening
The core of Opalescence Boost Whitening lies in its powerful chemical reaction. The active ingredient, hydrogen peroxide, penetrates the enamel and dentin layers of the teeth. It then breaks down the stain molecules that cause discoloration. These stain molecules are often the result of food, beverages, and tobacco use. The chemical reaction effectively eliminates these stains, leading to a noticeable lightening of the teeth’s shade. The process doesn’t harm the tooth structure; instead, it targets the discoloration within the tooth. The professional application ensures that the process is carefully monitored, minimizing the risk of potential side effects like tooth sensitivity.
How Opalescence Boost Works

The Opalescence Boost procedure typically involves isolating the teeth to be whitened and protecting the gums with a protective barrier. The whitening gel is then applied to the teeth. The high concentration of the gel ensures that the whitening process is powerful. This process often involves multiple applications during a single appointment, with each session lasting for a short period. The dentist will carefully monitor the process to ensure the best possible results and minimize any potential discomfort. After the treatment, the protective barrier is removed, and your teeth are thoroughly cleaned. You will then be able to see the immediate effect.
Benefits of Opalescence Boost Whitening
Opalescence Boost offers several advantages over other teeth whitening options, making it a popular choice for those seeking a brighter smile. The most significant benefits include the speed of the procedure, the long-lasting results, and the reduced risk of tooth sensitivity, which contributes to a very positive experience for the patient. Choosing this procedure over at-home treatments can lead to far superior results with a better application process. The benefits of this procedure are what set it apart.
Quick and Effective Whitening
One of the primary advantages of Opalescence Boost is its speed. Unlike at-home whitening kits that require weeks of consistent use to show results, Opalescence Boost delivers dramatic improvements in just one or two appointments. This is ideal for those who want to see immediate changes or have an event, such as a wedding or a special occasion, coming up. The in-office setting allows for a higher concentration of whitening agents, accelerating the process and providing a whiter smile quickly. This is a great alternative for people who have a busy lifestyle.
Long-lasting Results

With proper care and maintenance, the results of Opalescence Boost Whitening can last for a considerable amount of time. While individual results may vary depending on lifestyle and diet, many patients enjoy their whiter smiles for several months, or even years. The longevity of the results can be extended by avoiding staining foods and beverages and practicing good oral hygiene habits. Periodic touch-up treatments, as recommended by your dentist, can also help maintain the desired level of whiteness.
Minimal Sensitivity
While some teeth whitening treatments can cause tooth sensitivity, Opalescence Boost is designed to minimize this side effect. The dentist can control the strength of the whitening agents, and the use of desensitizing agents, if necessary, can further reduce sensitivity. Many patients experience little to no sensitivity during or after the procedure. Following the dentist’s aftercare instructions is also crucial in minimizing sensitivity. The ability to minimize sensitivity contributes to a comfortable and pleasant whitening experience, making it an excellent choice for individuals who may be concerned about potential discomfort.
Who is Opalescence Boost Whitening For?
Opalescence Boost Whitening is an excellent option for a wide range of individuals who are looking to improve the appearance of their smile. Whether you are looking to refresh your smile for a special occasion, or simply want to boost your confidence, this treatment can be beneficial. It’s essential to consult with your dentist to determine if Opalescence Boost Whitening is the right solution. Your dentist will assess your oral health and discuss your expectations to ensure the best possible outcomes. Here are some of the ideal candidates for this procedure.
Ideal Candidates

Ideal candidates for Opalescence Boost Whitening are those with generally healthy teeth and gums and who are looking to lighten the shade of their teeth. It is most effective for teeth that are discolored due to age, staining from foods and beverages, or mild to moderate staining. Patients should have realistic expectations about the results and understand that the treatment may not be suitable for everyone. Individuals with significant dental work, such as fillings, crowns, or veneers, may need to consider other options, as the whitening treatment will only affect the natural tooth structure.
People with Stained Teeth
One of the primary groups of people who benefit from Opalescence Boost Whitening are those with stained teeth. Stains can be caused by various factors, including coffee, tea, red wine, and smoking. This treatment effectively removes these stains, restoring the natural whiteness of the teeth. People with intrinsic stains, such as those caused by certain medications or dental fluorosis, can also experience significant improvements. The potent formula of Opalescence Boost can penetrate the enamel and dentin, targeting the discoloration and leaving patients with a significantly brighter smile. This is a great choice for people suffering from this.
The Opalescence Boost Whitening Procedure
The Opalescence Boost Whitening procedure is a straightforward process performed in your dentist’s office, typically taking around an hour. The dentist will take several precautions to ensure the safety and effectiveness of the treatment. The process is designed to be as comfortable as possible while delivering impressive results. Understanding the steps involved can help you feel more prepared and relaxed during your visit. This guide will cover the steps involved in preparing and undergoing this procedure.
Consultation and Preparation

Before the Opalescence Boost Whitening procedure, your dentist will conduct a thorough examination of your teeth and gums. This assessment is essential to ensure that you are a suitable candidate for the treatment. They will check for any existing dental issues, such as cavities or gum disease, which may need to be addressed before whitening. During the consultation, the dentist will also discuss your expectations, explain the procedure, and answer any questions you may have. Photographs will be taken of your teeth to monitor the progress of the treatment. This initial consultation ensures a safe and effective treatment plan tailored to your specific needs.
The Whitening Process
The actual whitening process begins with the dentist isolating your teeth, usually by placing a cheek retractor to keep your mouth open. A protective barrier is then applied to the gums to shield them from the whitening gel. The Opalescence Boost whitening gel is carefully applied to the surface of your teeth. The dentist may use a special light to activate the gel and enhance the whitening effect. The gel is typically left on the teeth for a certain amount of time, and the procedure may be repeated multiple times during the same visit. After the final application, the gel is removed, and your teeth are rinsed, leaving you with a brighter smile.
Post-Treatment Care and Maintenance
After undergoing Opalescence Boost Whitening, it is crucial to follow your dentist’s instructions to maintain your bright smile. Proper care and maintenance can help extend the longevity of your results and keep your teeth looking their best. By adhering to the recommended guidelines, you can enjoy a dazzling smile for a long time. This includes avoiding certain foods and beverages, practicing good oral hygiene, and attending regular dental check-ups.
Maintaining Your Bright Smile

To maintain your newly whitened smile, it is essential to practice good oral hygiene. This includes brushing your teeth at least twice a day, flossing daily, and using an antimicrobial mouthwash. These habits help to remove plaque and prevent stains from reforming on your teeth. Regular dental check-ups and professional cleanings are also crucial. Your dentist can monitor your progress, provide touch-up treatments if needed, and address any potential issues. Following this plan will help you maintain your brighter smile.
Foods and Drinks to Avoid
Certain foods and drinks can stain your teeth and diminish the effects of whitening treatments. To maintain your bright smile, it’s advisable to limit your intake of these items. Foods and drinks to avoid or consume in moderation include coffee, tea, red wine, dark-colored sodas, and heavily pigmented foods like berries and curries. If you do consume these items, rinse your mouth with water immediately afterward to minimize the potential for staining. Avoiding smoking is also crucial. These dietary adjustments will significantly contribute to maintaining your results.
Potential Side Effects
While Opalescence Boost Whitening is generally safe, some patients may experience minor side effects. The most common side effect is tooth sensitivity, which can occur during or after the treatment. Other potential, but less frequent, side effects include gum irritation. Understanding these potential side effects can help you prepare and manage any discomfort you may experience. The dentist can take measures to mitigate these effects. It’s always a good idea to consult your dentist about any concerns you have before undergoing the procedure.
Sensitivity Management

Tooth sensitivity is a common side effect of teeth whitening treatments. To manage sensitivity, your dentist may recommend using a toothpaste designed for sensitive teeth before and after the procedure. They might also apply a fluoride treatment to strengthen your enamel and reduce sensitivity. Avoiding hot or cold foods and beverages for a short period after the treatment can also help. If sensitivity persists, your dentist can provide additional treatments or recommendations to ensure your comfort. It’s crucial to communicate any discomfort to your dentist so they can provide the necessary care.
Is Opalescence Boost Whitening Right for You?
Opalescence Boost Whitening can be a transformative treatment for individuals seeking a brighter, more confident smile. However, the best way to determine if it is right for you is to consult with your dentist. They can assess your specific needs, oral health, and expectations to determine if this is the most suitable option. They can also discuss alternative treatments, such as at-home whitening kits or veneers, if Opalescence Boost is not the best fit. Schedule a consultation with your dentist to discuss your options and take the first step toward achieving a radiant smile. This is a great option if you are wanting whiter teeth.
In conclusion, Opalescence Boost Whitening offers a safe, effective, and convenient way to achieve a brighter smile. Its ability to deliver quick, long-lasting results with minimal sensitivity makes it a popular choice among those looking to enhance their appearance. By following the recommended post-treatment care and maintenance guidelines, you can enjoy the benefits of a dazzling, white smile for years to come. If you are considering teeth whitening, consult with your dentist to determine if Opalescence Boost is the right choice for you and start your journey towards a more confident smile today.
