What is Lumibrite Teeth Whitening?
Lumibrite teeth whitening is a professional-grade cosmetic dental procedure designed to brighten and lighten the color of your teeth. It’s a popular choice for individuals looking to enhance their smile and boost their self-confidence. Unlike over-the-counter whitening products, Lumibrite is typically administered by a dentist, ensuring a safe and effective treatment. This professional approach allows for stronger bleaching agents and customized application, leading to more dramatic and noticeable results. The process targets stains and discoloration caused by factors like coffee, tea, tobacco, and aging, restoring your teeth to a more youthful and radiant appearance. The procedure is generally quick, painless, and can be completed in a single dental visit, making it a convenient option for busy individuals seeking immediate improvement in their smile.
How Does Lumibrite Teeth Whitening Work?
Lumibrite teeth whitening utilizes a bleaching agent, typically containing a high concentration of hydrogen peroxide, to penetrate the enamel and dentin of your teeth. This agent breaks down the stain molecules that have accumulated over time, effectively lightening the color of your teeth. The process involves the dentist carefully applying the whitening gel to the surface of your teeth, ensuring even coverage. A special light or laser might be used to accelerate the whitening process, enhancing the effectiveness of the gel. The entire procedure is carefully monitored by a dental professional to minimize any potential sensitivity or discomfort. The effectiveness of Lumibrite depends on the concentration of the bleaching agent, the duration of the treatment, and the individual’s tooth structure and the severity of the stains present. The results are generally visible immediately after the procedure, with teeth appearing several shades brighter.
Lumibrite Teeth Whitening Procedure

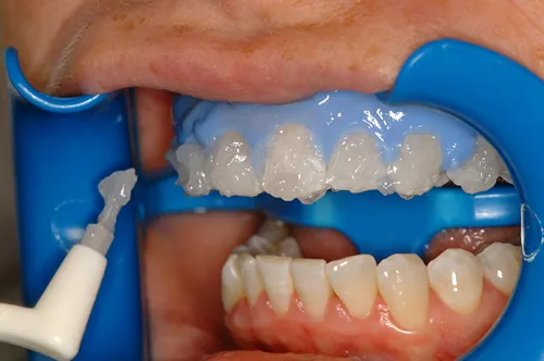
The Lumibrite teeth whitening procedure is a multistep process typically carried out in a dental office. It begins with an examination of your teeth and gums to ensure they are healthy and suitable for the treatment. The dentist will then isolate your teeth, protecting your gums and soft tissues with a special barrier. The whitening gel is applied to the front surfaces of your teeth. A special light or laser might be used to activate the bleaching agent and speed up the whitening process. The gel is left on your teeth for a specific period, usually in 15-20 minute intervals, and may be reapplied multiple times during the session. After the final application, the dentist will remove the gel and thoroughly rinse your mouth. Post-treatment instructions will be provided to ensure optimal results and minimize sensitivity. The entire procedure usually takes about an hour, offering a fast and effective way to brighten your smile.
Step 1 Preparation Before Whitening
Prior to undergoing Lumibrite teeth whitening, thorough preparation is essential for achieving the best possible outcome. A dental examination is the first step to assess the overall health of your teeth and gums. The dentist will check for any existing dental issues, such as cavities or gum disease, which should be addressed before whitening. A professional cleaning may be necessary to remove plaque and tartar, allowing the whitening agent to effectively penetrate the enamel. The dentist will also evaluate your current tooth shade and discuss your desired results, setting realistic expectations. Sensitivity assessment is a crucial part of the preparation, as some individuals may experience temporary sensitivity during or after the procedure. The dentist may recommend using a special toothpaste for sensitive teeth for a few weeks before the treatment. Additionally, you will receive instructions on what to avoid before your appointment, such as consuming staining foods and beverages.
Step 2 The Whitening Process
The Lumibrite teeth whitening process is carefully orchestrated to ensure safety and effectiveness. After the initial preparation, the dentist will begin by retracting your lips and cheeks and applying a protective barrier to your gums to prevent irritation from the whitening agent. The whitening gel, containing a high concentration of hydrogen peroxide, is then precisely applied to the front surfaces of your teeth. Special attention is paid to even distribution to ensure uniform whitening. A specialized light or laser may be used to activate the gel and accelerate the whitening process, though this is not always necessary. The gel is typically left on the teeth for several minutes, after which it is removed and reapplied several times during the appointment. Throughout the process, the dentist monitors your comfort level and checks for any signs of sensitivity. After the final application, the gel is thoroughly rinsed off, and the dentist will provide post-whitening care instructions.
Step 3 Post Whitening Care

After Lumibrite teeth whitening, proper post-treatment care is essential to maintain your newly brightened smile and minimize any potential side effects. The dentist will provide specific instructions, typically including dietary recommendations to avoid staining foods and beverages for the first 24 to 48 hours. Common culprits include coffee, tea, red wine, and dark-colored sauces. You may also be advised to avoid smoking, as it can stain your teeth and counteract the whitening effects. Using a desensitizing toothpaste can help alleviate any temporary tooth sensitivity. Good oral hygiene practices, such as brushing twice daily and flossing regularly, are crucial for keeping your teeth clean and maintaining your results. Regular dental check-ups and cleanings will help monitor your teeth’s health and maintain your radiant smile for an extended period. Following your dentist’s instructions carefully is key to maximizing the longevity of your whitening results and preserving your beautiful, bright smile.
Lumibrite Teeth Whitening Before and After Results
Lumibrite teeth whitening offers a dramatic transformation, often resulting in teeth that are several shades brighter. The ‘before and after’ results are often striking, showcasing the impressive impact of the treatment. Patients can expect to see a noticeable difference in the color of their teeth, with stains and discoloration significantly reduced. The extent of the whitening varies depending on factors such as the initial shade of your teeth, the type and severity of stains, and your individual response to the whitening agent. In many cases, patients achieve a more youthful and confident smile. The results are typically visible immediately after the procedure, with the teeth continuing to brighten slightly over the next few days. Before and after photos are a common way for dentists to demonstrate the efficacy of Lumibrite teeth whitening. These images provide visual evidence of the transformation and help potential patients understand the possibilities.
Factors Influencing Results
Several factors can influence the final outcome of Lumibrite teeth whitening. The inherent shade of your teeth plays a significant role; teeth that are naturally more yellow tend to whiten more effectively than those with gray or blue hues. The type and severity of stains also impact the results. Stains caused by coffee, tea, and tobacco typically respond well to whitening, while certain types of stains, such as those caused by tetracycline antibiotics, may be more resistant. Individual tooth structure and enamel thickness can also affect the outcome, as thicker enamel may require more treatment. Following post-whitening care instructions is crucial to maintain results and prevent new stains. Regular dental checkups and cleanings can also help preserve your brighter smile. Additionally, the dentist’s expertise in applying and monitoring the procedure has a considerable impact on the final results.
Top 5 Benefits of Lumibrite Teeth Whitening

Benefit 1 Enhanced Appearance
One of the most significant benefits of Lumibrite teeth whitening is the immediate improvement in your smile’s appearance. The procedure effectively eliminates stains and discoloration, resulting in teeth that are several shades brighter. This can significantly enhance your overall aesthetic appeal, making you look younger and more vibrant. A brighter smile often translates to increased self-confidence, as you become more comfortable and willing to show off your teeth. The transformation can have a positive impact on your social and professional interactions, leaving a lasting impression on others. The enhanced appearance is a primary motivator for individuals seeking cosmetic dental procedures, making Lumibrite a popular choice for those seeking a quick and effective way to improve their smile’s aesthetics.
Benefit 2 Boosted Confidence
A brighter, more radiant smile can significantly boost your self-esteem and confidence. Many individuals feel self-conscious about stained or discolored teeth, which can lead to diminished self-assurance in social and professional settings. Lumibrite teeth whitening can alleviate these concerns, allowing you to smile more freely and express yourself with greater confidence. The positive feedback and compliments you may receive about your enhanced smile can further enhance your self-image. Increased confidence can positively impact various aspects of your life, from personal relationships to career opportunities. Lumibrite not only improves your appearance but also empowers you to feel more comfortable and self-assured in your daily interactions, fostering a more positive self-perception.
Benefit 3 Improved Oral Health

While the primary focus of Lumibrite teeth whitening is cosmetic, it indirectly encourages improved oral hygiene habits. The process often motivates individuals to take better care of their teeth, including more diligent brushing, flossing, and regular dental checkups. This increased attention to oral hygiene can lead to a healthier mouth, reducing the risk of cavities, gum disease, and other dental problems. A clean and healthy mouth also contributes to overall well-being, as oral health is closely linked to systemic health. The consultation and examination before the procedure also provide an opportunity for the dentist to identify any existing dental issues and address them, further promoting good oral health. By investing in Lumibrite teeth whitening, you may be incentivized to maintain a higher standard of oral care, leading to long-term health benefits.
Benefit 4 Long Lasting Effects
When combined with proper maintenance, the results of Lumibrite teeth whitening can be long-lasting. While the treatment is not permanent, the whitening effects can last for several months or even years. The longevity of your results depends on your lifestyle and oral hygiene habits. Avoiding staining foods and beverages, such as coffee, tea, and red wine, can help to preserve your brightened smile. Regular dental checkups and cleanings also play a crucial role in maintaining your results. The dentist may also recommend touch-up treatments or at-home whitening products to extend the effects. With diligent care, you can enjoy a radiant smile for an extended period, making Lumibrite an effective investment in your appearance and confidence. Consistent good oral care and periodic maintenance are key to maximizing the lifespan of your whitened teeth.
Benefit 5 Minimal Sensitivity
Compared to some other teeth whitening procedures, Lumibrite is often associated with minimal tooth sensitivity. Dentists take precautions to minimize the risk of sensitivity during the treatment, such as using desensitizing agents and carefully monitoring the process. Any sensitivity experienced is typically temporary, lasting only a few days after the procedure. Many patients report little to no sensitivity at all. If sensitivity does occur, it can often be managed with over-the-counter pain relievers and desensitizing toothpaste. The comfort and safety of the patient are paramount during the Lumibrite teeth whitening process. The use of professional-grade materials and the expertise of the dental professional contribute to the overall comfort of the experience. This makes Lumibrite a more appealing option for individuals who are concerned about potential tooth sensitivity associated with whitening treatments.
Lumibrite Teeth Whitening Cost

The cost of Lumibrite teeth whitening varies depending on several factors, including the geographic location, the dentist’s fees, and the specific services included. The overall cost generally encompasses the initial consultation, the whitening procedure itself, and any post-treatment care or materials. On average, Lumibrite teeth whitening can range from a few hundred to several hundred dollars. It’s crucial to discuss the cost with your dentist during the consultation to understand all the expenses involved. Some dental insurance plans may offer partial coverage for teeth whitening, but this is not always the case. Financing options may be available to make the procedure more accessible. While the cost may seem significant, it’s essential to consider the benefits of Lumibrite teeth whitening, including a brighter smile, increased confidence, and improved oral health. The investment in your smile can have a positive impact on your overall well-being and self-perception. Comparing prices from different dental practices can help you find the best option that fits your budget and your specific needs.
Finding a Qualified Professional
Choosing a qualified and experienced dental professional is crucial for safe and effective Lumibrite teeth whitening. Start by researching dentists in your area, checking their credentials, and reading online reviews. Look for dentists who specialize in cosmetic dentistry and have experience performing teeth whitening procedures. Schedule consultations with a few different dentists to discuss your goals and assess their approach. During the consultation, ask questions about the procedure, the materials used, and the expected results. Make sure the dentist takes the time to understand your needs and address any concerns you may have. Check to see if the practice offers before and after photos of previous patients and ask about their success rate. A qualified dentist will prioritize your safety and comfort throughout the procedure and provide clear instructions for post-whitening care. Choosing a reputable dental professional ensures that you receive the best possible results and minimize any potential risks. Taking the time to find the right dentist will help you achieve a beautiful, bright smile that you can be proud of.
