Teeth Whitening in Liverpool Understanding the Costs
Teeth whitening is a popular cosmetic dental procedure that aims to brighten and lighten the shade of your teeth. In Liverpool, as in any city, the cost of teeth whitening can vary significantly. This comprehensive guide provides a detailed overview of the factors that influence the price, different treatment options, and tips on finding affordable solutions. Understanding the costs associated with teeth whitening is crucial for making an informed decision about your dental health and cosmetic goals. The information provided here will help you navigate the various options available in Liverpool and choose the best approach for achieving a brighter, more confident smile. Let’s delve into the specifics to help you understand the costs involved and make the best choice for your needs. This guide aims to equip you with the knowledge to make a decision that aligns with your budget and desired results.
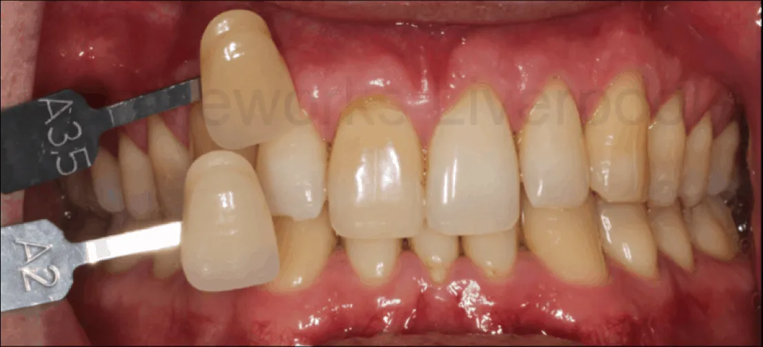
Factors Influencing Teeth Whitening Cost Liverpool
Several factors can impact the cost of teeth whitening in Liverpool. The primary determinant is the type of whitening treatment you choose, whether it’s professional in-office whitening, take-home kits, or over-the-counter products. The clinic’s location within Liverpool and its reputation also play a role. Clinics in more affluent areas may charge higher prices. The experience and qualifications of the dentist or dental professional performing the procedure are another factor. Highly experienced professionals often command higher fees. The complexity of your case, including the initial shade of your teeth and the desired level of whitening, can also affect the cost. Additional procedures, such as a dental cleaning before whitening, will add to the overall expense. Finally, any special offers or promotions available at the time of your treatment can influence the final cost, so it is always wise to inquire about these.
Type of Whitening Treatment

The method you choose for teeth whitening significantly affects the cost. Professional treatments, administered by a dentist or dental hygienist, tend to be more expensive but often provide superior results and are safer. In-office whitening offers immediate results and involves the application of a high-concentration bleaching agent, often activated by a special light. Take-home whitening kits, prescribed by a dentist, are a more affordable option. These kits typically include custom-fitted trays and a lower concentration of bleaching gel. Over-the-counter products, such as whitening strips and toothpastes, are the least expensive. However, they may offer limited results and are not suitable for everyone. Each method has its pros and cons regarding cost, effectiveness, and convenience. Understanding these differences will help you choose the best option for your specific needs and budget. Consider your expectations and the degree of whitening you desire when evaluating the different treatments.
Professional Teeth Whitening Options
Professional teeth whitening offers several advantages over at-home methods. The primary benefit is the use of stronger bleaching agents, which can produce more dramatic and faster results. Dentists can also customize the treatment to address specific concerns and ensure the safety of the procedure. Professional treatments are performed under the supervision of a dental professional, minimizing the risk of side effects such as gum irritation or tooth sensitivity. Furthermore, a dentist can assess your oral health and determine if teeth whitening is appropriate for you. Professional options include in-office whitening, which provides immediate results, and take-home kits prescribed by your dentist. These kits offer a balance of effectiveness and affordability. When choosing professional teeth whitening, consider the clinic’s reputation, the dentist’s experience, and the specific whitening technology they use. Professional whitening ensures both effectiveness and safety, delivering a confident, brighter smile.
In-Office Teeth Whitening
In-office teeth whitening, also known as chairside bleaching, is the most effective and quickest way to whiten your teeth. The procedure involves a dentist applying a high-concentration bleaching agent to your teeth, often activated by a special light or laser. The entire process typically takes about an hour, and you will see immediate results. This method is ideal for people who want instant results and are willing to invest more in their smile. The cost of in-office whitening is higher than other methods, reflecting the expertise of the dental professionals, the use of advanced technology, and the immediate impact. The benefits include a dramatically brighter smile, professional supervision to ensure safety, and customized treatment based on your teeth’s specific needs. Before undergoing in-office whitening, your dentist will perform an examination to ensure it is the right choice for you. They will also discuss any potential risks and provide post-treatment care instructions.
Take-Home Teeth Whitening Kits

Take-home teeth whitening kits, prescribed by a dentist, provide a balance of effectiveness and convenience. These kits typically include custom-fitted trays and a lower concentration of bleaching gel than in-office treatments, making them safer for at-home use. The dentist will take impressions of your teeth to create the trays, ensuring a perfect fit and maximum effectiveness. You will be instructed on how to apply the gel to the trays and wear them for a specified amount of time each day or night. The results are gradual but can be significant over a few weeks. Compared to in-office whitening, take-home kits are more affordable and allow you to whiten your teeth at your convenience. However, it requires your commitment to the treatment schedule. This method is an excellent option for those seeking professional-grade whitening without the higher cost and time commitment of in-office procedures. Your dentist will monitor your progress and provide guidance throughout the treatment.
Cost of Professional Teeth Whitening
The cost of professional teeth whitening in Liverpool varies depending on the chosen method and the clinic. In-office whitening generally ranges from £300 to £600 or more, reflecting the use of advanced technology and the expertise of the dental professionals. The exact price will depend on the specific clinic, the materials used, and the complexity of the case. Take-home whitening kits prescribed by a dentist typically cost between £150 and £400, providing a more affordable alternative. This price includes the custom-fitted trays and the bleaching gel. It is essential to obtain a detailed quote from your dentist, clarifying what is included in the price, such as the initial consultation and any follow-up appointments. When evaluating the cost, consider the potential benefits, the longevity of the results, and the safety and efficacy of professional treatments. Comparing prices from different clinics in Liverpool will help you find the best value for your investment.
DIY Teeth Whitening Methods
DIY teeth whitening methods offer an affordable alternative, but their effectiveness and safety can vary widely. Over-the-counter products, such as whitening strips, gels, and toothpastes, are readily available in Liverpool pharmacies and supermarkets. While they may offer some whitening effect, the results are often less dramatic than professional treatments. The active ingredients in these products are typically less potent, and the application may not be as precise. DIY methods also carry a higher risk of side effects, such as gum irritation or tooth sensitivity, especially if used improperly. Before using any DIY whitening product, it is crucial to read the instructions carefully and follow them precisely. However, for more significant whitening, professional treatments are recommended. If you’re considering DIY whitening, consult your dentist for advice. They can assess your oral health and provide recommendations that align with your needs and expectations. DIY methods may offer a quick fix, but their limitations and potential risks must be carefully considered.
Over-the-Counter Whitening Products

Over-the-counter (OTC) whitening products include whitening strips, gels, toothpastes, and mouthwashes. Whitening strips are a popular choice, as they are easy to use and relatively affordable. These strips contain a peroxide-based whitening agent and are applied directly to the teeth. Whitening gels are applied using a tray and are typically more potent than whitening strips. Whitening toothpastes contain mild abrasives or chemicals that help remove surface stains, improving the brightness of your teeth. Whitening mouthwashes also contribute to removing surface stains. The cost of OTC products varies, with whitening toothpastes and mouthwashes being the least expensive. The results of OTC products are generally subtle and may take several weeks to become noticeable. They are best suited for people with minor staining or those seeking to maintain the results of professional whitening. Although they are easily accessible, it is important to use these products as directed. They may cause side effects, such as tooth sensitivity or gum irritation, especially if overused. Consult your dentist if you experience any adverse effects.
Cost of DIY Teeth Whitening
The cost of DIY teeth whitening is significantly lower than professional treatments, making it an attractive option for those on a budget. Whitening toothpastes are the most affordable, typically costing between £5 and £15. Whitening strips and gels generally range from £20 to £50, depending on the brand and the number of treatments included. The price is usually per box or package, containing enough strips or gel for a specified duration. It’s essential to compare the cost per treatment and the expected results. While the initial investment is low, the long-term effectiveness of DIY whitening methods is often limited, which could mean you need to repurchase products regularly. However, these products offer a convenient way to improve the appearance of your teeth. Always read the product labels carefully and follow the instructions to minimize risks and maximize the benefits. Choosing the right product depends on your specific needs and the desired level of whitening. The cost savings of DIY methods make them an accessible option, but the potential trade-offs in effectiveness and safety must be taken into account.
Additional Costs to Consider
In addition to the primary costs of teeth whitening, other expenses may need to be factored in. A dental cleaning is often recommended before teeth whitening to remove surface stains and plaque, optimizing the effectiveness of the whitening treatment. The cost of a dental cleaning in Liverpool typically ranges from £50 to £100 or more. After teeth whitening, you may need to purchase products to maintain your results, such as a whitening toothpaste or a touch-up kit. These products will add to the ongoing cost of maintaining your bright smile. If you have existing dental work, such as fillings, crowns, or veneers, it is important to note that teeth whitening will not change the color of these restorations. In some cases, you might need to replace them to match your newly whitened teeth. Understanding these additional costs can help you plan a comprehensive budget for your teeth whitening treatment. These costs are essential to consider for achieving and maintaining your desired results.
Consultation Fees

Many dental clinics in Liverpool offer a consultation before starting any teeth whitening procedure. A consultation fee can range from free to £50 or more, depending on the clinic and the services included. During the consultation, the dentist will assess your oral health, discuss your goals, and recommend the most suitable treatment option. This initial assessment helps determine if you’re a good candidate for teeth whitening and if there are any underlying dental issues that need addressing. The consultation fee usually covers an examination of your teeth, a discussion of the available whitening options, and a quote for the chosen procedure. While a consultation may seem like an added expense, it provides valuable insights into the overall process and helps you make an informed decision. The consultation is a crucial step in ensuring a safe and effective teeth whitening experience. It allows you to discuss any concerns and ask questions before committing to treatment. Taking advantage of a consultation allows you to get personalized advice from a dental professional.
Maintenance Costs
Maintaining the results of teeth whitening involves ongoing care and potential maintenance costs. To keep your teeth looking their best, it’s important to follow your dentist’s recommendations for oral hygiene. This includes brushing twice daily with a whitening toothpaste and flossing regularly. You may also need to avoid foods and drinks that can stain your teeth, such as coffee, tea, red wine, and dark-colored berries. Over time, your teeth may lose some of their brightness, and you may need to have touch-up treatments. This could involve using a take-home whitening kit or visiting your dentist for a quick in-office session. The cost of touch-up treatments varies depending on the method chosen. Proper maintenance will help to prolong the effects of teeth whitening and keep your smile radiant. Consider investing in a quality electric toothbrush and other oral hygiene products to support your efforts. Staying consistent with your dental hygiene routine is key to maintaining your results and preserving your bright smile.
Tips for Finding Affordable Teeth Whitening in Liverpool
Finding affordable teeth whitening options in Liverpool involves several strategies. Comparing prices from different dental clinics is essential. Websites and comparison tools can help you find clinics offering competitive rates. Ask about any special offers, discounts, or payment plans that may be available. Some clinics offer promotions during certain times of the year. Consider opting for take-home whitening kits rather than in-office treatments, as they are generally less expensive. Check online reviews and testimonials to assess the quality of the service. Look for clinics with a good reputation and experienced dentists, as this often reflects a commitment to excellent care. Consider the clinic’s location and accessibility, as clinics in less central areas might offer more competitive prices. If you have dental insurance, check to see if it covers any portion of the teeth whitening treatment. Planning ahead and being proactive in your search can help you achieve a brighter smile without breaking the bank.
Compare Clinics and Prices

Comparing clinics and prices is a crucial step in finding affordable teeth whitening in Liverpool. Start by researching different dental clinics in your area. Many clinics have websites that list their services and prices. Use online search engines and comparison websites to find clinics and compare their prices for teeth whitening treatments. Pay attention to what is included in the price, such as the initial consultation, any pre-treatment procedures, and the whitening itself. Read online reviews and testimonials to gauge the quality of service and the clinic’s reputation. Check the clinic’s credentials and the qualifications of the dentists and dental professionals. Contact several clinics to request quotes and ask about any special offers or promotions. Compare the prices, the services included, and the overall value offered by each clinic. Make sure to inquire about payment options and financing plans if available. By comparing clinics and prices, you can find the most affordable and suitable teeth whitening option in Liverpool without compromising on quality.
Look for Special Offers and Promotions
Many dental clinics in Liverpool offer special offers and promotions to attract new patients and retain existing ones. These promotions can significantly reduce the cost of teeth whitening treatments. Check clinic websites, social media pages, and local advertising for current deals. Look for seasonal promotions, such as discounts during holidays or special events. Some clinics offer package deals that combine teeth whitening with other dental services, such as a cleaning and check-up. Inquire about referral programs, where you and a friend can both receive a discount. Some clinics offer introductory offers for new patients or loyalty programs for returning patients. Be aware of any terms and conditions associated with the promotions, such as expiration dates or limitations on the treatments. Taking advantage of special offers and promotions can help you save a substantial amount of money on teeth whitening, making it more affordable. Always inquire about potential discounts and compare the overall value of the offers.
Read Reviews and Check Credentials
Reading reviews and checking the credentials of dental clinics in Liverpool is an essential step in making an informed decision about teeth whitening. Online reviews from previous patients provide insights into the clinic’s quality of service, the dentist’s expertise, and the overall patient experience. Search for reviews on Google, Facebook, and other online platforms. Look for clinics with a high number of positive reviews and consistent feedback. Pay attention to comments about the clinic’s professionalism, the friendliness of the staff, and the results of the teeth whitening treatments. Ensure that the dentists and dental professionals are licensed and qualified. Check their credentials and verify that they are registered with the General Dental Council (GDC). Review the clinic’s website to see if they showcase any special certifications or awards. Reading reviews and checking credentials helps you choose a reputable clinic with a proven track record of success, ensuring a safe and effective teeth whitening experience. It offers peace of mind and increases the likelihood of a positive outcome.
The Long-Term Benefits of Teeth Whitening

Teeth whitening offers significant long-term benefits beyond simply achieving a brighter smile. A brighter smile can boost your self-esteem and confidence, leading to improved social interactions and a more positive self-image. It can make you feel more comfortable and confident in your professional and personal life. Teeth whitening also encourages better oral hygiene. Maintaining the results of whitening involves following good oral hygiene habits, such as brushing twice daily, flossing regularly, and avoiding foods and drinks that stain teeth. Teeth whitening can also make you appear younger and healthier. A bright smile can detract from other signs of aging, such as wrinkles and fine lines. Moreover, having a beautiful smile can improve your overall appearance. It can enhance your facial features and make you look more attractive. The long-term benefits extend to both your physical and emotional well-being. The increased confidence and improved self-image can have a positive impact on your overall quality of life. Teeth whitening is an investment in your smile and your overall well-being.
